| Pneumomediastinum | |
|---|---|
| Other names | Mediastinal emphysema |
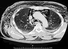
![]() | |
| A CT scan showing air in the mediastinum | |
| Specialty | Radiology |
Pneumomediastinum (from Greek pneuma – "air", also known as mediastinal emphysema)[1] is pneumatosis (abnormal presence of air or other gas) in the mediastinum, the central part of the chest cavity. First described in 1819 by René Laennec,[2][3] the condition can result from physical trauma or other situations that lead to air escaping from the lungs, airways, or bowel into the chest cavity. In underwater divers it is usually the result of pulmonary barotrauma.[1]
Signs and symptoms
The main symptom is usually severe central chest pain. Other symptoms include laboured breathing, voice distortion (as with helium) and subcutaneous emphysema, specifically affecting the face, neck, and chest.[4] Pneumomediastinum can also be characterized by the shortness of breath that is typical of a respiratory system problem. It is often recognized on auscultation by a "crunching" sound timed with the cardiac cycle (Hamman's crunch). Pneumomediastinum may also present with symptoms mimicking cardiac tamponade as a result of the increased intrapulmonary pressure on venous flow to the heart.[5]
Cause
It is most commonly caused by:
- Esophageal rupture, for example in Boerhaave syndrome
- Asthma, crack cocaine use or other conditions leading to alveolar rupture
- Bowel rupture, where air in the abdominal cavity tracts up into the chest.
It has also been associated with:
It can be induced to assist thoracoscopic surgery.[8]
It can be caused by a pulmonary barotrauma induced by a person moving from a higher to a lower pressure environment, such as when a scuba or surface-supplied diver,[9][10] a free-diver after lung-packing,[11] or an airplane passenger[12] ascends. In the case of scuba and surface supplied divers, the diver breathes gas at ambient pressure, and if this is not able to escape freely during ascent, the pressure difference will cause it to expand, and may rupture the lung tissues (pulmonary barotrauma), and escape to a variety of places, one of which can be the mediastinum. A diver with symptoms of mediastinal emphysema may also have any combination of arterial gas embolism, pneumothorax and subcutaneous or pulmonary interstitial emphysema. Factors which may prevent free escape of the compressed breathing gas include holding the breath or respiratory obstructions such as cysts, mucus plugs, or scar tissue.[10]
In rare cases, pneumomediastinum may also arise as a result of blunt chest trauma (e.g. car accidents, fights, over pressure of breathing apparatus), while still evolving in the same fashion as the spontaneous form.[13]
Pneumomediastinum is most commonly seen in otherwise healthy young male patients and may not be prefaced by a relevant medical history of similar ailments.[14]
Diagnosis
Pneumomediastinum is uncommon and occurs when air leaks into the mediastinum. The diagnosis can be confirmed via chest X-ray showing a radiolucent outline around the heart and mediastinum or via CT scanning of the thorax.
Treatment
The tissues in the mediastinum will slowly resorb the air in the cavity so most pneumomediastinums are treated conservatively. Breathing high flow oxygen will increase the absorption of the air. If the air is under pressure and compressing the heart, a needle may be inserted into the cavity, releasing the air. Surgery may be needed to repair the hole in the trachea, esophagus or bowel.
If there is lung collapse, it is imperative the affected individual lies on the side of the collapse. Although painful, this allows full inflation of the unaffected lung.
References
- 1 2 "Travelers Medical Guide: Glossary". dan.org. Retrieved 28 September 2022.
- ↑ Laënnec RTH. De l’auscultation médiate ou Traité du Diagnostic des Maladies des Poumon et du Coeur. 1st ed. Paris: Brosson & Chaudé; 1819.
- ↑ Roguin A (2006). "Rene Theophile Hyacinthe Laënnec (1781-1826): the man behind the stethoscope". Clinical Medicine & Research. 4 (3): 230–5. doi:10.3121/cmr.4.3.230. PMC 1570491. PMID 17048358.
- ↑ Quresi SA, Tilyard A (2008). "Unusual Presentation of Spontaneous Mediastinum: A Case Report". Cases Journal 1:349. doi:10.1186/1757-1626-1-349.
- ↑ Beg MH, Reyazuddin, Ansari MM (1988). "Traumatic tension Pneumomediastinum Mimicking Cardiac Tamponade". Thorax 43:576-677. doi: 10.1136/thx.43.7.576.
- ↑ Vázquez JL, Vázquez I, González ML, García-Tejedor JL, Repáraz A (2007). "Pneumomediastinum and pneumothorax as presenting signs in severe Mycoplasma pneumoniae pneumonia". Pediatric Radiology. 37 (12): 1286–8. doi:10.1007/s00247-007-0611-1. PMID 17899058. S2CID 26500618.
- ↑ Hatzitolios A, Ntaios G (2007). "Spontaneous Pneumomediastinum May Be Associated with Both Anorexia Nervosa and Obesity". Lung. 185 (6): 373. doi:10.1007/s00408-007-9037-7. PMID 17909893. S2CID 6771220.
- ↑ Utsumi T, Shiono H, Fukai I, Akashi A (2007). "Artificial pneumomediastinum facilitates thoracoscopic surgery in anterior mediastinum". Interactive Cardiovascular and Thoracic Surgery. 6 (3): 411–2. doi:10.1510/icvts.2006.147355. PMID 17669882.
- ↑ Tetzlaff K, Reuter M (1998). "Recurrent pulmonary barotrauma (PBT) in a previously healthy male scuba diver who suffered from repeated pneumomediastinum after shallow-water scuba dives". Undersea Hyperb Med. 25 (2): 127–8. PMID 9670439. Archived from the original on 2012-05-03. Retrieved 2008-06-05.
{{cite journal}}: CS1 maint: unfit URL (link) - 1 2 "Mmediastinal emphysema". Encyclopedia Britannica. Retrieved 28 September 2022.
- ↑ Jacobson FL, Loring SH, Ferrigno M (2006). "Pneumomediastinum after lung packing". Undersea Hyperb Med. 33 (5): 313–6. PMID 17091828. Archived from the original on 2012-05-03. Retrieved 2008-06-05.
{{cite journal}}: CS1 maint: unfit URL (link) - ↑ Nicol E, Davies G, Jayakumar P, Green ND (April 2007). "Pneumopericardium and pneumomediastinum in a passenger on a commercial flight". Aviat Space Environ Med. 78 (4): 435–9. PMID 17484349.
- ↑ Yellin A, Gapany-Gapanavicius M, Lieberman Y (1983). "Spontaneous Pneumomedistinum: Is It a Rare Cause of Chest Pain?". Thorax 38:383-385.
- ↑ Cicak B, Verona E, Mihatov-Stefanovic I, Vrsalovic R (2009). "Spontaneous Pneumomediastinum in a Healthy Adolescent". Acta Clinica Croatica 48(4):461-7.
- ↑ Zahed, Asef. "Angel wing sign | Radiology Case | Radiopaedia.org". Radiopaedia.
- ↑ "UOTW #67 - Ultrasound of the Week". Ultrasound of the Week. 29 January 2016. Retrieved 27 May 2017.


