| Pilomatricoma | |
|---|---|
| Other names | Calcifying epithelioma of Malherbe,[1] Malherbe calcifying epithelioma, and Pilomatrixoma |
![]() | |
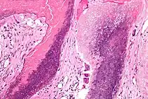
| Histopathology of pilomatricoma, high magnification, H&E stain, showing the characteristic components of basaloid cells and ghost cells. | |
| Specialty | Oncology |
Pilomatricoma is a benign skin tumor derived from the hair matrix.[2][3] These neoplasms are relatively uncommon and typically occur on the scalp, face, and upper extremities. Clinically, pilomatricomas present as a subcutaneous nodule or cyst with unremarkable overlying epidermis that can range in size from 0.5 to 3.0 cm, but the largest reported case was 24 cm.[4]
Presentation
Associations
Pilomatricomas have been observed in a variety of genetic disorders including Turner syndrome, myotonic dystrophy, Rubinstein–Taybi syndrome, Trisomy 9, and Gardner syndrome.[5] It has been reported that the prevalence of pilomatricomas in Turner syndrome is 2.6%.[6]
Hybrid cysts that are composed of epidermal inclusion cysts and pilomatricoma-like changes have been repeatedly observed in Gardner syndrome.[7][8][9][10] This association has prognostic import, since cutaneous findings in children with Gardner syndrome generally precede colonic polyposis.
Histologic features

The characteristic components of a pilomatricoma include a stroma of fibrovascular connective tissue surrounding irregularly shaped, lobulated islands containing basaloid cells (being darkly stained, round or elongated, with indistinct cell borders and minimal cytoplasm, with nuclei being round to ovoid, deeply basophilic and generally prominent nucleoli), which abruptly or gradually transitions into ghost cells (having abundant, pale, eosinophilic cytoplasm, well defined cell borders and a central clear area, but only faint traces of nuclear material), which in turn may transition into keratinaceous to amorphous necrosis.[11]
The presence of calcifications with foreign-body giant cells is common within the tumors.[12]
Pathogenesis
Pilomatricoma is associated with high levels of beta-catenin caused by either a mutation in the APC gene or a stabilizing mutation in the beta-catenin gene, CTNNB1. A high level of beta-catenin increases cell proliferation, inhibits cell death, and ultimately leads to neoplastic growth.[6]
See also
References
- ↑ Rapini, Ronald P.; Bolognia, Jean L.; Jorizzo, Joseph L. (2007). Dermatology: 2-Volume Set. St. Louis: Mosby. ISBN 978-1-4160-2999-1.
- ↑ James, William Daniel; Berger, Timothy G.; Elston, Dirk M., eds. (2006). Andrews' Diseases of the Skin: Clinical Dermatology. Saunders Elsevier. p. 670. ISBN 978-0-8089-2351-0.
- ↑ Levy, Jaime; Ilsar, Michael; Deckel, Yael; Maly, Alexander; Anteby, Irene; Pe'er, Jacob (2008). "Eyelid Pilomatrixoma: A Description of 16 cases and a Review of the Literature". Survey of Ophthalmology. 53 (5): 526–35. doi:10.1016/j.survophthal.2008.06.007. PMID 18929763.
- ↑ Gongidi, P.; Meshekow, J.; Holdbrook, T.; Germaine, P. (2015). "Giant Pilomatrixoma Presenting in the Posterior Thorax, a Rare Location and the Largest Described". Case Reports in Radiology. 2015: 590742. doi:10.1155/2015/590742. PMC 4339831. PMID 25763287.
- ↑ Cooper, Philip H.; Fechner, Robert E. (1983). "Pilomatricoma-like changes in the epidermal cysts of Gardner's syndrome". Journal of the American Academy of Dermatology. 8 (5): 639–44. doi:10.1016/S0190-9622(83)70071-X. PMID 6863619.
- 1 2 Glanz, Steven M.; Kessler, Harvey P.; Eskin, Thomas A.; Liu, Chen; Hassanein, Ashraf M. (2003). "b-Catenin Is Expressed Aberrantly in Tumors Expressing Shadow Cells Pilomatricoma, Craniopharyngioma, and Calcifying Odontogenic Cyst". American Journal of Clinical Pathology. 120 (5): 732–6. doi:10.1309/EALEG7LD6W7167PX. PMID 14608900.
- ↑ Narisawa, Yutaka; Kohda, Hiromu (1989). "An Unusual Hybrid Cyst in Gardner's Syndrome with Partial Differentiation toward the Inner Root Sheath". The Journal of Dermatology. 16 (6): 492–5. doi:10.1111/j.1346-8138.1989.tb01591.x. PMID 2628457. S2CID 11344468.
- ↑ Rütten, A; Wenzel, P; Goos, M (1990). "Gardner-Syndrom mit pilomatrixomartigen Haarfollikelzysten" [Gardner syndrome with pilomatrixoma-like hair follicle cysts]. Der Hautarzt; Zeitschrift FüR Dermatologie, Venerologie, und Verwandte Gebiete (in German). 41 (6): 326–8. PMID 2380070. INIST 19291018.
- ↑ Narisawa, Yutaka; Kohda, Hiromu (1995). "Cutaneous cysts of Gardner's syndrome are similar to follicular stem cells". Journal of Cutaneous Pathology. 22 (2): 115–21. doi:10.1111/j.1600-0560.1995.tb01392.x. PMID 7560342. S2CID 5572492.
- ↑ Urabe, Kazunori; Xia, Jianxin; Masuda, Teiichi; Moroi, Yoichi; Furue, Masutaka; Matsumoto, Takayuki (2004). "Pilomatricoma-Like Changes in the Epidermoid Cysts of Gardner Syndrome with an APC Gene Mutation". The Journal of Dermatology. 31 (3): 255–7. doi:10.1111/j.1346-8138.2004.tb00669.x. PMID 15187352. S2CID 29916492.
- ↑ Punnya V Angadi (2009-06-01). "Skin: Pilomatricoma". Atlas of Genetics and Cytogenetics in Oncology and Haematology.
- ↑ Elder, David E., ed. (2014). Lever's Histopathology of the Skin (11th ed.). Wolters Kluwer. pp. 440, 1056. ISBN 978-1-4511-9037-3.
