Splenic injury
Spleen ruptured by trauma
SpecialtyEmergency medicine Edit this on Wikidata

A splenic injury, which includes a ruptured spleen, is any injury to the spleen. The rupture of a normal spleen can be caused by trauma, such as a traffic collision.

Signs and symptoms

In minor injuries with little bleeding, there may be abdominal pain, tenderness in the epigastrium and pain in the left flank. Often there is a sharp pain in the left shoulder, known as Kehr's sign.[1] In larger injuries with more extensive bleeding, signs of hypovolemic shock are most prominent. This might include a rapid pulse, low blood pressure, rapid breathing, paleness, and anxiety.

Causes

The most common cause of a ruptured spleen is blunt abdominal trauma, such as in traffic collisions or sports accidents. Direct, penetrating injuries, for example, stab or gunshot wounds are rare.

Non-traumatic causes are less common. These include infectious diseases, medical procedures such as colonoscopy, haematological diseases, medications, and pregnancy.[2]

In less than one percent of cases of infectious mononucleosis splenic rupture may occur.[3]

Diagnosis

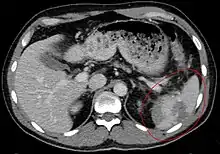
Traumatic rupture of the spleen on contrast enhanced axial CT (portal venous phase)
Splenic hematoma resulting in free abdominal blood

Splenic rupture is usually evaluated by FAST ultrasound of the abdomen.[4] Generally this is not specific to splenic injury; however, it is useful to determine the presence of free floating blood in the peritoneum.[4] A diagnostic peritoneal lavage, while not ideal, may be used to evaluate the presence of internal bleeding a person who is hemodynamically unstable.[5] The FAST exam typically serves to evaluate the need to perform a CT scan.[5] Computed tomography with IV contrast is the preferred imaging study as it can provide high quality images of the full peritoneal cavity.[4]

Organ injury scale

American Association for the Surgery of Trauma Organ Injury Scaling: Splenic Injury Grading[6]

Splenic injury scale classification
GradeSubcapsular hematomaLaceration
I<10% surface area<1 cm parenchymal depth
II10–50% surface area1–3 cm parenchymal depth
III>50% surface area or expanding>3-cm parenchymal depth
IVMajor devascularization (>25% of spleen)
VCompletely shattered spleen

Treatment

Because a splenic rupture permits large amounts of blood to leak into the abdominal cavity, it can result in shock and death. Generally a nonoperative approach is chosen in those who are hemodynamically stable with non-worsening symptoms.[6][7] During this period of nonoperative management strict bed rest between 24 and 72 hours with careful monitoring along with a CT seven days after the injury.[6]

Splenic artery embolization is a minimally invasive procedure and, where successful, avoids splenectomy.

If an individual's spleen is enlarged, as is frequent in mononucleosis, most physicians will advise against activities (such as contact sports) where injury to the abdomen could be catastrophic.[8]

Patients whose spleens have been removed via a splenectomy must receive immunizations to help prevent infections such as pneumonia. This helps to replace the lost function of this organ.

See also

References

  1. Betts, J Gordon; Desaix, Peter; Johnson, Eddie; Johnson, Jody E; Korol, Oksana; Kruse, Dean; Poe, Brandon; Wise, James; Womble, Mark D; Young, Kelly A (June 8, 2023). Anatomy & Physiology. Houston: OpenStax CNX. 15.2 Autonomic reflexes and homeostasis. ISBN 978-1-947172-04-3.
  2. Aubrey-Bassler, F.; Sowers, N. (2012). "613 cases of splenic rupture without risk factors or previously diagnosed disease: A systematic review". BMC Emergency Medicine. 12: 11. doi:10.1186/1471-227X-12-11. PMC 3532171. PMID 22889306. Open access icon
  3. Handin, Robert I.; Lux, Samuel E.; Stossel, Thomas P. (2003). Blood: Principles and Practice of Hematology. Lippincott Williams & Wilkins. p. 641. ISBN 9780781719933.
  4. 1 2 3 Mattox 2012, p. 566
  5. 1 2 Trunkey 2008, p. 401
  6. 1 2 3 Uranues, Prof Selman; Kilic, Yusuf A. (2008-07-30). "Injuries to the Spleen". European Journal of Trauma and Emergency Surgery. 34 (4): 355–361. doi:10.1007/s00068-008-8102-0. ISSN 1863-9933. PMID 26815812. S2CID 8808584.
  7. Mattox 2012, p. 570
  8. "About Mono (Infectious Mononucleosis) | CDC". www.cdc.gov. 2021-03-17. Retrieved 2022-07-17.

Bibliography

  • Feliciano, David V.; Mattox, Kenneth L.; Moore, Ernest J. (2012). Trauma, Seventh Edition (Trauma (Moore)). McGraw-Hill Professional. ISBN 978-0-07-166351-9.
  • Trunkey, Donald (2008). Current Therapy of Trauma and Surgical Critical Care (1st ed.). Philadelphia: Mosby. ISBN 978-0-323-04418-9.
This article is issued from Wikipedia. The text is licensed under Creative Commons - Attribution - Sharealike. Additional terms may apply for the media files.