Adénome festonné sessile

L’adénome festonné sessile (AFS) est un sous-type d'adénome colorectal et de polype festonné colorectal. Il constitue une lésion précurseur de l'adénocarcinome colorectal. Ils siègent principalement dans le côlon droit.

Ils se présentent comme des lésions planes ou légèrement en relief, souvent étendues et parfois multiples, correspondant alors aux lésions de la polypose hyperplasique.

Cette lésion s'associe à des mutations du gène BRAF, ce qui laisse penser que ces lésions pourraient être un stade précoce du processus conduisant à l'émergence des cancers coliques sporadiques de phénotype microsatellite instable (en) (MSI).

Histopathologie

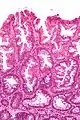
La partie profonde des glandes est souvent élargie, a tendance à se diviser en deux ou trois branches et à s’horizontaliser, c'est-à-dire à se disposer parallèlement à la musculaire muqueuse et non pas perpendiculairement à elle, comme dans les polypes hyperplasiques conventionnels et les adénomes festonnés traditionnels.

Notes et références

    Liens externes

    • icône décorative Portail de la médecine
    Cet article est issu de Wikipedia. Le texte est sous licence Creative Commons – Attribution – Partage à l’identique. Des conditions supplémentaires peuvent s’appliquer aux fichiers multimédias.