Alveolata

Le groupe des Alvéolés (Alveolata), ou alvéolobiontes, est constitué d'organismes vivants unicellulaires de formes assez diverses. La monophylie du groupe est basée essentiellement sur l'étude des ARNr 18S. Il existe cependant un caractère qui leur est propre : la présence de vésicules sous-membranaires, les alvéoles (d'où ce taxon tire son nom), largement distribuées et pouvant servir de réservoir calcique, ou contenir un matériel dense comme les plaques thécales des dinophytes.

Les plus anciens fossiles d'alvéolobiontes connus sont des dinophytes du Silurien (-420 Ma).

Caractéristiques

La caractéristique commune la plus notable est la présence d'alvéoles (sacs) corticales (près de la surface). Ce sont des vésicules (sacs) aplaties disposées en une couche juste sous la membrane et la soutenant, contribuant généralement à une pellicule flexible (peau fine). Dans les dinoflagellés blindés, ils peuvent contenir des plaques rigides. Les alvéolés ont des mitochondries avec des crêtes tubulaires (invaginations) et les cellules ont souvent des intrusions semblables à des pores à travers la surface cellulaire. Le groupe contient des organismes libres et parasites, des flagellés prédateurs et des organismes photosynthétiques.

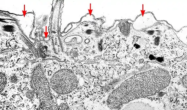
Micrographie électronique à transmission d'une section mince de la surface du cilié Paramecium putrinum, montrant les alvéoles (flèches rouges) sous la surface cellulaire

Classification

Le groupe des alvéolobiontes rassemble :

N.B. Les foraminifères qui y avaient été incorporées par certains auteurs sont maintenant rattachées aux Rhizaria.

Selon BioLib (12 septembre 2020)[1] :

Selon World Register of Marine Species (12 septembre 2020)[2] :

Phylogénie

Basé sur une compilation des œuvres suivantes[3],[4],[5],[6].

Alveolata
Ciliophora
Postciliodesmatophora

Heterotrichea



Karyorelictea



Intramacronucleata

Mesodiniea



Lamellicorticata

Litostomatea




Armophorea




Cariacotrichea



Spirotrichea





Ventrata

Protocruziea




?Discotrichida




Colpodea





Nassophorea



Phyllopharyngea





Prostomatea




Plagiopylea



Oligohymenophorea











Miozoa
Colponemidia

Colponemea



Acavomonadia

Acavomonadea


Myzozoa
Apicomplexa s.l.

?Myzomonadea



Chromerea




Colpodellida


Sporozoa

Blastogregarinida



Paragregarea





Coccidiomorphea (Coccidia et Hematozoa)



Marosporida




Gregarinomorphea






Dinozoa

?Squirmidea



Perkinsea


Dinoflagellata s.s.

?Pronoctilucea



Ellobiophyceae




Psammosea




Oxyrrhea




Syndinea


Dinokaryota

Noctiluciphyceae



Dinophyceae












Des recherches récentes indiquent que les Dinoflagelllata ont en fait émergé des Perkinsea. De plus, les Perkinsea ont émergé des Apicomplexa[7].

Notes et références

  1. BioLib, consulté le 12 septembre 2020
  2. World Register of Marine Species, consulté le 12 septembre 2020
  3. Ruggiero MA, Gordon DP, Orrell TM, Bailly N, Bourgoin T, Brusca RC, Cavalier-Smith T, Guiry MD, Kirk PM, « A higher level classification of all living organisms », PLOS ONE, vol. 10, no 4, , e0119248 (PMID 25923521, PMCID 4418965, DOI 10.1371/journal.pone.0119248 Accès libre, Bibcode 2015PLoSO..1019248R)
  4. Silar, Philippe, « Protistes Eucaryotes: Origine, Evolution et Biologie des Microbes Eucaryotes », HAL Archives-ouvertes, , p. 1–462 (lire en ligne)
  5. Thomas Cavalier-Smith, « Kingdom Chromista and its eight phyla: a new synthesis emphasising periplastid protein targeting, cytoskeletal and periplastid evolution, and ancient divergences », Protoplasma, vol. 255, no 1, , p. 297–357 (PMID 28875267, PMCID 5756292, DOI 10.1007/s00709-017-1147-3)
  6. Varsha Mathur, Waldan K. Kwong, Filip Husnik, Nicholas A. T. Irwin, Árni Kristmundsson, Camino Gestal, Mark Freeman et Patrick J Keeling, « Phylogenomics Identifies a New Major Subgroup of Apicomplexans, Marosporida class nov., with Extreme Apicoplast Genome Reduction », Oxford University Press, vol. 13, no 2: evaa244, (ISSN 1759-6653, PMID 33566096, PMCID 7875001, DOI 10.1093/gbe/evaa244)
  7. (en) Jürgen F H Strassert, Anna Karnkowska, Elisabeth Hehenberger, Javier del Campo, Martin Kolisko, Noriko Okamoto, Fabien Burki, Jan Janouškovec et Camille Poirier, « Single cell genomics of uncultured marine alveolates shows paraphyly of basal dinoflagellates », The ISME Journal, vol. 12, no 1, , p. 304–308 (ISSN 1751-7370, PMID 28994824, PMCID 5739020, DOI 10.1038/ismej.2017.167)

Voir aussi

Articles connexes

Liens externes

  • icône décorative Portail de la microbiologie
  • icône décorative Portail origine et évolution du vivant
Cet article est issu de Wikipedia. Le texte est sous licence Creative Commons – Attribution – Partage à l’identique. Des conditions supplémentaires peuvent s’appliquer aux fichiers multimédias.