Astrocytome

L'astrocytome est une tumeur infiltrante et lentement évolutive, développée à partir des cellules astrocytaires. L'astrocytome fait partie des gliomes, tumeurs développées à partir des cellules gliales, qui constituent le tissu de soutien des neurones, et dont font partie les cellules astrocytaires. C'est une tumeur infiltrante des hémisphères cérébraux de l'adulte, mais aussi du cervelet chez l'enfant[1]. L'astrocytome peut correspondre à des grades histologiques différents en fonction de la différenciation cellulaire. Il peut être bénin, mais il peut se transformer en astrocytome anaplasique, ou, à un degré de plus de malignité, en glioblastome multiforme.

Clinique

Les éléments cliniques chez l'adulte sont marqués par la comitialité tardive et isolée (épilepsie grand mal ou épilepsie focalisée), mais aussi par des céphalées, une hypertension intra-crânienne ou un déficit moteur progressif.

Chez l'enfant, on peut aussi retrouver des troubles de l'acquisition (marche, position debout), un syndrome cérébelleux cinétique puisque l'astrocytome touche préférentiellement les hémisphères du cervelet.

Il est aussi possible, les astrocytomes de l'enfant se trouvant généralement à proximité du cerveau, qu'il y ait pression. En effet, la naissance d'un astrocytome, proche du cervelet par exemple, entraine une mauvaise circulation du liquide céphalo-rachidien et par conséquent une pression importante au niveau du cerveau. Au cours du déroulement, cette pression peut être découverte soit par une mauvaise gestion de l'équilibre (dans certains cas) soit par l'ophtalmologiste qui peut trouver une pression intra-crânienne trop importante. Dans le dernier cas, le médecin verra un fond de l'œil mis sous pression.

Diagnostic

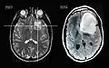
En début d'évolution, l'imagerie montre une tumeur isodense au scanner, d'où l'intérêt de l'IRM, plus sensible au dépistage de cette tumeur peu vascularisée. Lors de l'évolution, le scanner montre une tumeur hypodense, ne prenant généralement pas le produit de contraste. Il n'est pas retrouvé d'effet de masse puisque la tumeur est infiltrante.

Une biopsie peut être envisagée pour confirmer le diagnostic d'astrocytome, préciser le grade histologique.

Traitement

En cas d'astrocytome bénin, l'attitude thérapeutique peut consister en :

  • une exérèse chirurgicale si la lésion est accessible au geste, ou
  • une surveillance clinique et scannographique (ou par IRM).
  • l'application d'un drain pour évacuer la surpression. (Cas rare dû à la position de la tumeur)

Un traitement anti-épileptique peut être nécessaire.

Dans la culture

Notes et références

  1. « Astrocytome », sur le dictionnaire de l’Académie nationale de médecine

Voir aussi

Articles connexes

Lien externe

  • icône décorative Portail de la médecine
Cet article est issu de Wikipedia. Le texte est sous licence Creative Commons – Attribution – Partage à l’identique. Des conditions supplémentaires peuvent s’appliquer aux fichiers multimédias.