Branchie
Les branchies sont des organes respiratoires internes ou externes permettant à de nombreux animaux aquatiques, notamment les poissons, de respirer en extrayant l'oxygène de l'eau. Le mot « branchie », du genre féminin, est dérivé du grec ancien βράγχια / bránchia, par l'intermédiaire du latin branchie utilisé par Columelle[1].


.jpg.webp)
Description
.jpg.webp)
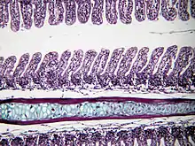
Les branchies sont des évaginations tissulaires vascularisés qui forment une surface d'échange respiratoire. Elles constituent la principale surface d'échanges gazeux spécialisée chez les animaux aquatiques.
Les branchies des Invertébrés (mollusques, annélides, certaines larves d'insectes) sont issues de repliements de l'ectoderme tandis que les branchies des Cordés (dont les Vertébrés) sont constituées principalement d'endoderme et ne sont donc pas des structures homologues. Certains Vertébrés ont cependant des branchies externes issues exclusivement de l'ectoderme (c'est le cas de la première génération de branchies chez les têtards d'Amphibiens) et chez certaines espèces de salamandres adultes, dont l'axolotl, la siren ou le necture. Les branchies sont formées par des arcs branchiaux (homologues des arcs pharyngés chez l'homme) sur lesquels s'insèrent des lames branchiales (rangées de filaments).
Rôle
Outre leur rôle fondamental dans la respiration, les branchies servent à piéger de la nourriture notamment chez les animaux microphages filtreurs (moule, ascidie...) et à réguler la concentration ionique du milieu intérieur (chez les poissons).
On trouve quatre branchies sous chaque opercule chez un poisson. Une branchie se compose d'un os (arc branchial) sur lequel s'insèrent deux lames branchiales constituées de fins filaments (environ 200 par lames, donc 400 par branchie). Chaque filament est très richement irrigué et le sang n'est séparé de l'eau que par quelques micromètres, voire moins d'un micromètre.
Fonctionnement
.jpg.webp)
Les branchies ont un fonctionnement pour partie comparable aux poumons, dans la mesure où elles constituent une surface d'échange, très étendue dans un volume restreint grâce à leur forme ; la membrane sert de filtre laissant passer l'oxygène (vers l'intérieur de l'organisme) et le dioxyde de carbone (vers l'extérieur).
Chez les Poissons, l'eau entre par la bouche et sort par les ouïes, un courant d'eau suffisant étant créé par le déplacement de l'animal, et par des mouvements de pompage de la bouche ou des muscles operculaires (bien que chez les espèces à branchies externes, seul le mouvement du corps permet la création du mouvement d'eau). Au passage, le sang a capté (une partie) du dioxygène dissous dans l'eau et a rejeté du dioxyde de carbone préalablement dissous dans le sang, par diffusion osmotique.
Cette analogie entre poumons et branchies peut être illustrée par le cas d'une noyade : les poumons humains peuvent filtrer l'oxygène de l'eau, mais le système respiratoire n'est pas capable de pomper de l'eau assez vite pour renouveler efficacement l'approvisionnement en oxygène. À l'inverse, les animaux pourvus de branchies ont des organes qui fonctionnent, non comme un cul-de-sac, mais comme un tunnel, voire comme un arbre dans le vent (branchies externes), ce qui permet de faire circuler l'eau assez vite.
Pour réaliser leur fonction de surface d'échange les branchies sont abondamment irriguées par du sang. Chez les Poissons, ce sang provient du cœur en passant par les arcs aortiques (au nombre de 4 chez les Téléostéens et les têtards d'Amphibiens).

Du point de vue de l'évolution de la vie, les poumons ne sont pas considérés comme une évolution des branchies (une des hypothèses avait été que les branchies étaient devenues internes et invaginées, c'est-à-dire une seule ouverture). L'orifice branchial est, quant à lui, devenu un des organes de l'ouïe.
L'eau, comme l'air, est un fluide où se trouve de l'oxygène, mais en quantité moindre : une membrane pulmonaire doit filtrer environ 25 litres d'air pour extraire un litre d'oxygène (le rendement est modeste, l'air comprenant 21 % d'oxygène), mais des branchies doivent voir passer de 300 à 500 litres d'eau pour en obtenir la même quantité. L'eau est d'autre part 800 fois plus dense que l'air, et 60 fois plus visqueuse. Le système des branchies permet donc de faire passer en sens unique un maximum de liquide avec un minimum d'effort musculaire (nécessitant de l'oxygène).
Maladies
Chez les poissons comme chez les invertébrés bivalves (ex. : huîtres du genre Crassostrea[2]), les branchies sont protégées par le système immunitaire mais sont aussi un lieu de parasitose par divers microbes, champignons aquatiques (ex. : microsporidies[3]) ou invertébrés qui profitent de la proximité du sang et de la difficulté pour le poisson de les nettoyer mécaniquement. Certains poissons nettoyeurs nettoient les branchies d'autres poissons.
Effets des pollutions
La pollution thermique tend à faire chuter le taux d'oxygène de l'eau, et plusieurs types de pollutions chimiques peuvent affecter les branchies et leur fonctions[4]. À titre d'exemple les branchies de trois poissons d'eau douce (brochet, sandre et silure) exposés à l'eau polluée du Timiș, un affluent du Danube (situé en Serbie) ont présenté des modifications histopathologiques modérées à intenses. L'altération « progressive » la plus commune est une hyperplasie de l'épithélium branchial. Des troubles circulatoires se manifestent fréquemment, prenant généralement la forme d'une hyperémie. Les modifications étaient moindres pour le brochet et plus intense chez le silure (P <0,05)[4]. L'altération régressive (érosion de l'épithélium) était la plus marquée chez le sandre (p <0,001). Cette expérience a montré que les branchies de trois espèces de prédateurs vivant dans les mêmes eaux réagissent très différemment au même cocktail de polluants, ce qui laisse envisager des mécanismes écotoxiques légèrement différents selon les espèces[4] ; ce dont il faudrait tenir compte pour limiter les biais dans les études écotoxicologiques.
Cas particulier
Certains poissons (Poissons-coffre) sont capables de gonfler d'eau leur chambre brachiale et de retenir leur respiration durant plusieurs minutes. Quand ils vident cette eau ils se dégonflent en perdant 20 à 30 % de leur volume apparent[5].
Modélisation, imitation
Le domaine de la biomimétique s'intéresse aux branchies qui présentent des qualités ou potentialités exceptionnelles en termes de filtration, autonettoyage, échanges chimiques, gazeux, thermiques et de filtration[6]. Des chercheurs essayent notamment de produire des branchies artificielles qui permettraient à des plongeurs sous-marin de directement profiter de l'oxygène dissous de l'eau, sans bouteilles[7].
Notes et références
- Informations lexicographiques et étymologiques de « Branchie » dans le Trésor de la langue française informatisé, sur le site du Centre national de ressources textuelles et lexicales.
- Comps, M. (1970). http://archimer.ifremer.fr/doc/00000/3145/ La maladie des branchies chez les huîtres du genre Crassostrea caracteristiques et evolution des alterations processus de cicatrisation]. Revue des Travaux de l'Institut des Pêches Maritimes, 34(1), 23-44.
- Bekhti M & Bouix G (1985) Loma salmonae (Putz, Hoffman et Dunbar, 1965) et Loma diplodae n. sp., microsporidies parasites de branchies de poissons téléostéens: implantation et données ultrastructurales. Protistologica, 21(1), 47-59.
- Lujić, J., Matavulj, M., Poleksić, V., Rašković, B., Marinović, Z., Kostić, D., & Miljanović, B. (2015). Gill Reaction to Pollutants from the Tamiš River in Three Freshwater Fish Species, Esox lucius L. 1758, Sander lucioperca (L. 1758) and Silurus glanis L. 1758: A Comparative Study. Anatomia, Histologia, Embryologia: Journal Of Veterinary Medicine Series C, 44(2), 128-137. doi:10.1111/ahe.12119 ; (ISSN 0340-2096).
- Erica Tennenhouse (2019) Spotted for the first time: a fish holding its breath underwater Repéré pour la première fois: un poisson qui retient son souffle sous l'eau ; 7 juin 2019.
- Tien-Chieh Hung, Raul H Piedrahita, Angela Cheer (2012) Bio-inspired particle separator design based on the food retention mechanism by suspension-feeding fish, Bioinspiration & Biomimetics 7 (4), 046003.
- Generation-nt (2014), brève illustrée intitulée Triton : un étonnant concept de branchies artificielles, mis en ligne 2014-01-26.
Voir aussi
Articles connexes
Bibliographie
- Jennifer C. Smith, S. Laurie Sanderson, (2013) Particle retention in suspension-feeding fish after removal of filtration structures Zoology, 116 (6), 348-355
- E.H. Elsheikh, (2013) Scanning electron microscopic studies of gill arches and rakers in relation to feeding habits of some fresh water fishes ; The Journal of Basic & Applied Zoology, 66 (3), 121- 30.
- U. Kumari, M. Yashpal, S. Mittal, A.K. Mittal (2009) Surface ultrastructure of gill arches and gill rakers in relation to feeding of an Indian major carp, Cirrhinus mrigala, Tissue and Cell41 (5), 318 - 325.
- L. G. Ross, C. A. Martinez-Palacios, Ma. del C. Aguilar Valdez, M. C. M. Beveridge, Ma. C. Chavez Sanchez (2006) Determination of feeding mode in fishes: the importance of using structural and functional feeding studies in conjunction with gut analysis in a selective zooplanktivore Chirostoma estor estor Jordan Journal of Fish Biology, . 68 (6), 1782 - 1794.
- Anders Persson, Jonas M. Svensson, Aquatic Ecology (2006) Vertical distribution of benthic community responses to fish predators, and effects on algae and suspended material. 40 (1), 85 - 95.
- Anders Persson, Christer Bronmark, (2002) Foraging capacities and effects of competitive release on ontogenetic diet shift in bream, Abramis brama. Oikos 97 (2), 271 - 281
- S. Laurie Sanderson, Angela Y. Cheer, Jennifer S. Goodrich, Jenny D. Graziano, W. Todd Callan, (2001) Crossflow filtration in suspension-feeding fishes. Nature, 412 (6845), 439 - 441.
- A.Y. Cheer, Y. Ogami, S.L. Sanderson (2001) Computational Fluid Dynamics in the Oral Cavity of Ram Suspension-Feeding Fishes, Journal of Theoretical Biology, 210 (4), 463 - 474.
- J. S. Goodrich, S. L. Sanderson, I. E. Batjakas, L. S. Kaufman (2000) Branchial arches of suspension-feeding Oreochromis esculentus: sieve or sticky filter ?, Journal of Fish Biology 56 (4), 858 - 875.
- S. Laurie Sanderson, Sarah J. Kupferberg (1999) Development and Evolution of Aquatic Larval Feeding Mechanisms, 301 - 377.
- W. M. Mooij, W. L. T. Densen, E. H. R. R. Lammens(1996) Formation of year-class strength in the bream population in the shallow eutrophic Lake Tjeukemeer, Journal of Fish Biology 48 (1), 30 - 39.
- A. Langeland, T. Nost(1995) Gill raker structure and selective predation on zooplankton by particulate feeding fish, Journal of Fish Biology 47 (4), 719 - 732.
- Coen Van Den Berg, Geert J. M. Van Snik, Jos G. M. Van Den Boogaart, Ferdinand A. Sibbing, Jan W. M. Osse(1994) Comparative microanatomy of the branchial sieve in three sympatric cyprinid species, related to filter-feeding mechanisms, Journal of Morphology, 219 (1), 73 - 87.
- Coen Berg, Ferdinand A. Sibbing, Jan W. M. Osse, Wim Hoogenboezem (1992) Structure, development and function of the branchial sieve of the common bream, Abramis brama, white bream, Blicca bjoerkna and roach, Rutilus rutilus, Environmental Biology of Fishes 33 (1-2), 105 - 124
- Portail de l’anatomie
- Portail de la zoologie
- Portail du monde maritime
- Portail de l’ichtyologie