Cellule cancéreuse
Une cellule cancéreuse est une cellule anormale ayant acquis des caractères spécifiques à l'origine d'un cancer.
Type de cellules cancéreuses
Les cellules cancéreuses se distinguent selon le type de cellules dont elles descendent[1]. Cellule présentant des anomalies au niveau de fragments chromosomiques ou de chromosomes entiers causant ainsi une perturbation de son cycle et une instabilité génétique. Qualifiée de siège de lésions génétiques, la cellule cancéreuse ne cesse de se diviser et refuse la coopération avec toute autre cellule normale.Un cancer se développe à partir d'une cellule normale altérée par un certain nombre d'anomalies – des mutations – qui ne sont pas réparées par les processus habituels. La cellule devient anormale et, si elle n'est pas détruite, se multiplie pour former une tumeur.Quelles sont les cellules cancéreuses ?
Les cellules cancéreuses sont des cellules "anormales" engagées dans un processus anarchique où elles accumulent les anomalies.D'un point de vue fonctionnel on reconnaît aux cellules cancéreuses des propriétés communes qui les différencient des cellules normales : 1. indépendance vis-à-vis des signaux de prolifération (facteurs de croissance) provenant de l'environnement ; 2. insensibilité aux signaux anti-prolifératifs ; 3.
Pourquoi les cellules cancéreuses sont immortelles ?
Certaines cellules sont considérées comme immortelles parce que leur culture in vitro peut être entretenue de façon quasi illimitée. Il s'agit essentiellement des cellules embryonnaires et des cellules cancéreuses. Leur capacité de multiplication diminue au cours de leur différenciation.
- Carcinome : la majorité des cellules cancéreuses sont d'origine épithéliale, nées dans les tissus qui enveloppent les organes.
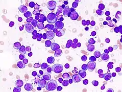
- Leucémie : les cellules cancéreuses proviennent des tissus producteurs des cellules sanguines, le plus souvent de la moelle osseuse.
- Lymphome et myélome : cellules dérivées de celles du système immunitaire.
- Sarcome : cellules dérivées du tissu conjonctif.
- Cancer du système nerveux central : cellules dérivées des cellules du cerveau ou de la moelle épinière.
- Mésothéliome : cellules dérivées du mésothélium qui tapisse les cavités de l'organisme.
Cellules de carcinome.
Cellules de leucémie.
Cellules de lymphome.
Cellules de myélome.
Cellules de sarcome.
cellules de mésothéliome.
Des cellules MYF (cellules cancéreuses) ont été cultivées dans un milieu riche en blebbistatine (drogue inhhibant la contraction du complexe acto-myosine). Leur forme peut être déterminée au microscope grâce aux filaments d'actine marqués en rouge. Mai 2018.
Notes et références
- (en) « Histological types of cancer - CRS - Cancer Research Society », sur www.crs-src.ca
- Portail de la médecine