Dérivation du liquide cérébrospinal
Une dérivation du liquide cérébrospinal (ou shunt cérébral) est un dispositif implanté de façon permanente à l’intérieur de la tête et du corps pour évacuer l’excès de liquide du cerveau. Elle est couramment utilisée pour traiter l'hydrocéphalie, le gonflement du cerveau dû à une accumulation excessive de liquide céphalo-rachidien (LCR). Si rien n'est fait, l'excès de LCR peut entraîner une augmentation de la pression intracrânienne (PIC), ce qui peut provoquer un hématome intracrânien, un œdème cérébral, un écrasement du tissu cérébral ou une hernie[1]. Le drainage assuré par une dérivation peut atténuer ou prévenir ces problèmes chez les patients souffrant d'hydrocéphalie ou de maladies associées.

Les dérivations se présentent sous diverses formes, mais la plupart d'entre elles sont constituées d'un boîtier de valve relié à un cathéter dont l'extrémité inférieure est généralement placée dans la cavité péritonéale. Les principales différences entre les dérivations résident généralement dans les matériaux utilisés pour les construire, les types de vannes utilisées et le fait que la vanne soit programmable ou non[2].
Description
Types de vannes

| Type de vanne | Description |
|---|---|
| Delta | Conçue pour éviter le surdrainage. Reste fermée jusqu'à ce que la PIC atteigne un niveau prédéterminé. Laisse le ventricule shunté (c'est-à-dire dérivé) plus grand que les ventricules non shuntés. |
| Cylindrique moyenne pression | Peut conduire à un drainage inégal des ventricules[3]. |
| Nulsen et Spitz | Contient deux unités de vannes à bille reliées par un ressort. N’a pas de réglage de pression réglable. Première valve produite en série utilisée pour traiter l'hydrocéphalie en 1956[4]. |
| Spitz Holter | Utilise des fentes en silicone pour éviter les défaillances mécaniques[5],[6]. |
| Anti-siphon | Empêche le drainage excessif en empêchant l'effet siphon. L'appareil se ferme lorsque la pression à l'intérieur de la vanne devient négative par rapport à la pression ambiante. Empêche le drainage excessif qui pourrait survenir lorsqu'un patient est assis, debout ou change rapidement de posture[7]. |
| Sigma | La vanne Sigma fonctionne sur un mécanisme de contrôle de débit, par opposition au système de contrôle de pression des autres vannes. L'appareil peut réguler les changements de débit de LCR sans être programmé ni modifié chirurgicalement. La première itération a été introduite en 1987. Valve fonctionnant en trois étapes pour éviter un drainage excessif et insuffisant. |
Emplacement de la dérivation

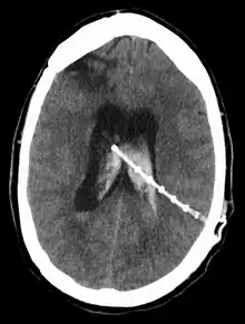
L'emplacement de la dérivation est déterminé par le neurochirurgien en fonction du type et de l'emplacement du blocage provoquant l'hydrocéphalie. Tous les ventricules cérébraux sont candidats à la dérivation. Le cathéter est le plus souvent placé dans l'abdomen, mais d'autres emplacements incluent le cœur et les poumons. les dérivations peuvent souvent porter le nom de la voie utilisée par le neurochirurgien. L'extrémité distale du cathéter peut être située dans à peu près n'importe quel tissu comportant suffisamment de cellules épithéliales pour absorber le LCR entrant. Ci-dessous quelques plans de routage courants pour les dérivations cérébrales :
Point de Frazier
Il est situé sur l'os pariétal, au-dessus de la suture lambdoïde, à 3 à 4 cm latéralement de la ligne médiane et 6 cm au-dessus de l'inion[8]. C'est un site courant de canulation ventriculaire dans le cadre de la pose d'une dérivation ventriculo-péritonéale pour le traitement de l'hydrocéphalie. Il a été décrit pour la première fois par Ch. Frazier en 1928[9].
Acheminement des dérivations
| Itinéraire | Emplacement du drain de liquide |
|---|---|
| Dérivation ventriculo-péritonéal (Dérivation VP) | Cavité péritonéale |
| Dérivation ventriculo-auriculaire (Dérivation VA) | Oreillette droite du cœur |
| Dérivation ventriculo-pleural (Dérivation VPL) | Cavité pleurale |
| Dérivation ventriculo-cisternal (Dérivation VC) | Grande citerne |
| Dérivation ventriculo-sous-galéal (Dérivation SG) | Espace sous-galéal |
| Dérivation lombaire-péritonéal (Dérivation LP) | Cavité péritonéale |
Une dérivation sous-galéal est généralement une mesure temporaire utilisée chez les nourrissons trop petits ou trop prématurés pour tolérer d'autres types de dérivation. Le chirurgien forme une poche sous l'aponévrose épicrânienne (l'espace sous-galéal) et permet au LCR de s'écouler des ventricules, créant ainsi une poche de liquide sur le cuir chevelu du bébé. Ces dérivations sont normalement convertis en VP (dérivation ventriculo-péritonéal) ou en d'autres types de dérivations une fois que le nourrisson est suffisamment grand[10].
Les indications
Ci-dessous une courte liste de complications connues pouvant conduire à une hydrocéphalie nécessitant une dérivation :
| Diagnostics | Description | Incidence |
|---|---|---|
| Hydrocéphalie congénitale | Un large éventail d'anomalies génétiques pouvant conduire à une hydrocéphalie à la naissance. | 0,04 à 0,08 %[11] |
| Tumeur | Différentes tumeurs peuvent entraîner un blocage du LCR si elles sont localisées dans certaines zones. Certaines de ces zones comprennent les ventricules latéraux ou le troisième ventricule, la fosse postérieure et les tumeurs intraspinales. Les tumeurs peuvent être malignes ou bénignes[12]. | Inconnu |
| Hydrocéphalie post-hémorragique | Un saignement dans les ventricules cérébraux, en particulier pendant la petite enfance, peut entraîner un blocage du drainage du LCR et provoquer une hydrocéphalie. | |
| Spina-bifida | Plus précisément, la myéloméningocèle spina bifida peut provoquer le développement d'une hydrocéphalie car le cervelet bloquera le flux du LCR lors du développement de la malformation de Chiari II. | 0,125 % |
| Sténose aqueducale congénitale | Une maladie génétique qui peut provoquer des déformations du système nerveux. Le défaut est généralement associé à une déficience intellectuelle, à des malformations bilatérale des pouces et à une paraplégie spastique[11]. | 0,003 %[11] |
| Craniosynostose | La craniosténose survient lorsque les sutures du crâne se ferment trop tôt. Le résultat de la fusion de plusieurs sutures avant que le cerveau ne cesse de croître est une augmentation de la PIC conduisant à l’hydrocéphalie[13]. | 0,05 %[14] |
| Hydrocéphalie post-méningitique | L'inflammation et les cicatrices provoquées par la méningite peuvent inhiber l'absorption du LCR. | |
| Syndrome de Dandy-Walker | Les patients présentent généralement une déformation kystique du quatrième ventricule, une hypoplasie du vermis cérébelleux et une hypertrophie de la fosse postérieure. Il s'agit d'une maladie génétiquement héréditaire[15]. | 0,003 %[16] |
| Kyste arachnoïdien | Un défaut provoqué lorsque le LCR forme une collection piégée dans les membranes arachnoïdiennes. Le kyste qui en résulte peut alors bloquer le flux normal de LCR provenant du cerveau, entraînant une hydrocéphalie ainsi que d'autres défauts. Les emplacements les plus courants d’un kyste arachnoïdien sont la fosse moyenne et la fosse postérieure. Les symptômes les plus courants sont les nausées et les vertiges[17]. | 0,05 %[18] |
| Hypertension intracrânienne idiopathique | Trouble neurologique rare touchant environ 1 personne sur 100 000, dont la plupart sont des femmes en âge de procréer. L'hypertension intracrânienne idiopathique entraîne une augmentation de la pression intracrânienne et peut entraîner une perte permanente de la vision. | |
| Hydrocéphalie à pression normale, également connue sous le nom de syndrome de Hakim-Adams | Un excès de liquide céphalo-rachidien (LCR) se produit dans les ventricules et avec une pression du liquide céphalo-rachidien normale ou légèrement élevée. |
Complications
Il existe un certain nombre de complications associées à la mise en place d'une dérivation. Beaucoup de ces complications surviennent pendant l’enfance et cessent une fois que le patient a atteint l’âge adulte. De nombreuses complications nécessitent une révision immédiate de la dérivation (le remplacement ou la reprogrammation de la dérivation déjà existante). Les symptômes courants ressemblent souvent à une nouvelle apparition d’hydrocéphalie, comme des maux de tête, des nausées, des vomissements, une vision double et une altération de la conscience. Cela peut entraîner des dommages à la mémoire à court terme d'un individu. Dans la population pédiatrique, le taux d'échec de la dérivation deux ans après l'implantation a été estimé à 50 %[19]. Les patients présentant un âge avancé, un séjour hospitalier prolongé, un score de Glasgow inférieur à 13, des drains extra-ventriculaires in situ ou une excision de tumeurs cérébrales sont plus susceptibles de présenter un dysfonctionnement précoce de la dérivation[20].
Infection
L’infection est une complication courante qui touche normalement les patients pédiatriques car ils n’ont pas encore développé d’immunité contre un certain nombre de maladies. Normalement, l’incidence de l’infection diminue à mesure que le patient vieillit et que le corps acquiert une immunité contre divers agents infectieux. Une infection liée à la dérivation peut survenir jusqu'à 27 % des patients. L’infection peut entraîner des troubles cognitifs à long terme, des problèmes neurologiques et, dans certains cas, la mort. Les agents microbiens courants pour l'infection par Dérivation comprennent Staphylococcus epidermidis, Staphylococcus aureus et Candida albicans. D'autres facteurs pouvant conduire à une infection liée à la dérivation comprennent l'insertion de la dérivation à un jeune âge (moins de six mois) et le type d'hydrocéphalie traitée. Il n’existe pas de forte corrélation entre l’infection et le type de dérivation[21]. Bien que les symptômes d'une infection liée à la dérivation soient généralement similaires à ceux observés dans l'hydrocéphalie, les symptômes de l'infection peuvent également inclure de la fièvre et un nombre élevé de globules blancs[22].
Traitement des infections liée à la dérivation
Le traitement d'une infection liée à la dérivation du LCR comprend généralement le retrait de la dérivation et la mise en place d'un réservoir ventriculaire temporaire jusqu'à ce que l'infection soit résolue[23],[24]. Il existe quatre méthodes principales de traitement des infections de dérivation ventriculo-péritonéal (VP) : (1) les antibiotiques ; (2) le retrait de la dérivation infecté avec remplacement immédiat ; (3) l'externalisation de la dérivation avec remplacement éventuel ; (4) le retrait de la dérivation infecté avec mise en place d'un drain ventriculaire externe (EVD) et éventuellement une réinsertion de la dérivation. Cette dernière méthode a le taux de réussite le plus élevé, soit plus de 95 %[25].
Traitement médical de l'infection liée à la dérivation
Le traitement empirique initial de l'infection liée à la dérivation du LCR devrait inclure une large couverture antibiotique pour les bacilles aérobies à gram négatif, y compris les pseudomonas, ainsi que pour les organismes à gram positif, notamment Staphylococcus aureus et les staphylocoques à coagulase négative, comme une association de ceftazidime et de vancomycine. Certains cliniciens ajoutent des aminosides parentéraux ou intrathécaux pour améliorer la couverture du pseudomonas, bien que l'efficacité des aminosides ne soit pas claire. Le méropénem et l'aztréonam sont d'autres options antibiotiques efficaces contre les infections bactériennes à Gram négatif[26].
Traitement chirurgical de l'infection liée à la dérivation
Pour évaluer le bénéfice de l'ablation ou de l'externalisation de la dérivation chirurgical suivi d'une ablation, Wong et al. ont comparé deux groupes : un avec un traitement médical seul et un autre avec un traitement médical et chirurgical simultanément. 28 patients infectés après implantation d’une dérivation ventriculo-péritonéale sur une période de 8 ans dans leur centre neurochirurgical ont été étudiés. 17 de ces patients ont été traités par retrait de la dérivation ou externalisation suivi d'un retrait en plus des antibiotiques en intra-veineux tandis que les 11 autres ont été traités uniquement par des antibiotiques en intra-veineux. Le groupe recevant à la fois le retrait de la dérivation chirurgical et les antibiotiques a présenté une mortalité plus faible – 19 % contre 42 % (p = 0,231). Bien que ces résultats ne soient pas statistiquement significatifs, Wong et al. suggèrent de gérer les infections de la dérivation VP via un traitement chirurgical et médical[27].
Une analyse de 17 études publiées au cours des 30 dernières années concernant des enfants atteints d'infections par dérivation du LCR a révélé que le traitement par retrait de la dérivation et par antibiotiques a traité avec succès 88 % des 244 infections, tandis que l'antibiothérapie seule a traité avec succès l'infection par dérivation du LCR dans seulement 33 % des 230 infections[24],[28].
Alors que les méthodes chirurgicales typiques de traitement des infections par dérivation VP impliquent le retrait et la réimplantation de la dérivation, différents types d'opérations ont été utilisés avec succès chez certains patients. Steinbok et coll. ont traité un cas d'infection récurrente par dérivation VP chez un patient eczémateux avec une dérivation ventriculo-sous-galéal pendant deux mois jusqu'à la guérison complète de l'eczéma. Ce type de dérivation leur permettait d’éviter la zone de peau malade qui constituait la source de l’infection[25]. Jones et coll. ont traité 4 patients atteints d'hydrocéphalie non communicante qui présentaient des infections par dérivation VP avec retrait de la dérivation et réalisation d'une troisième ventriculostomie. Ces patients ont été guéris de l'infection et n'ont pas eu besoin de réinsertion de la dérivation, démontrant ainsi l'efficacité de cette procédure chez ces types de patients[29].
Obstruction
Une autre cause majeure de défaillance de la dérivation est le blocage de la dérivation à l’extrémité proximale ou distale. À l'extrémité proximale, la valve de dérivation peut se bloquer en raison de l'accumulation d'un excès de protéines dans le LCR. Les protéines supplémentaires s’accumuleront au point de drainage et obstrueront lentement la valve. La dérivation peut également se bloquer à l'extrémité distale en cas de migration ce cette extrémité en dehors de la cavité abdominale en cas d'arrachement par exemple (dans le cas des dérivations VP) ou à cause d'une accumulation de protéines similaires. D'autres causes de blocage sont le surdrainage et le syndrome du ventricule fendu.
Sur-drainage
Un drainage excessif se produit lorsqu'une dérivation n'a pas été conçu de manière adéquate pour un patient particulier. Un drainage excessif peut entraîner un certain nombre de complications différentes, dont certaines sont soulignées ci-dessous.
Habituellement, l’un des deux types de surdrainage peut se produire. Premièrement, lorsque le LCR se draine trop rapidement, une condition connue sous le nom de collecte de liquide extra-axiale. Dans cette condition, le cerveau s’effondre sur lui-même, ce qui entraîne une accumulation de LCR ou de sang autour du cerveau. Cela peut provoquer de graves lésions cérébrales en comprimant le cerveau et un hématome sous-dural peut se développer. La collection de liquide extra-axiale peut être traitée de trois manières différentes en fonction de la gravité de la maladie. Habituellement, la dérivation sera remplacée ou reprogrammée pour libérer moins de LCR, et le liquide accumulé autour du cerveau sera drainé. La deuxième condition, connue sous le nom de syndrome du ventricule fendu, survient lorsque le LCR se draine lentement sur plusieurs années. Plus d’informations sur le syndrome du ventricule fendu apparaissent ci-dessous[30].
Malformation de Chiari I
Des études récentes ont montré qu'un drainage excessif du LCR dû à une dérivation peut conduire à une malformation acquise de Chiari I[31]. On pensait auparavant que la malformation de Chiari I était le résultat d'une anomalie congénitale, mais de nouvelles études ont montré que le drainage excessif des dérivations cysto-péritonéaux utilisés pour traiter les kystes arachnoïdiens peut conduire au développement d'un surpeuplement de la fosse postérieure et d'une hernie amygdalienne, cette dernière étant la définition classique de la malformation de Chiari I. Les symptômes courants comprennent des maux de tête importants, une perte auditive, de la fatigue, une faiblesse musculaire et une perte de la fonction du cervelet[32].
Syndrome du ventricule fendu
Le syndrome du ventricule fendu est un trouble rare associé aux patients ayant une dérivation cérébrale, mais qui entraîne un grand nombre de révisions de dérivation. Cette pathologie survient généralement plusieurs années après l'implantation de la dérivation. Les symptômes les plus courants sont similaires à un dysfonctionnement normal de la dérivation, mais il existe plusieurs différences clés. Premièrement, les symptômes sont souvent cycliques et apparaîtront puis disparaîtront plusieurs fois au cours de la vie. Deuxièmement, les symptômes peuvent être atténués en étant allongé sur le ventre. En cas de dysfonctionnement de la dérivation, ni le temps ni la position posturale n'affecteront les symptômes[33].
On pense souvent que cette maladie survient pendant une période où le surdrainage et la croissance cérébrale se produisent simultanément. Dans ce cas, le cerveau remplit l’espace intraventriculaire, laissant les ventricules effondrés. De plus, la souplesse du cerveau diminuera, ce qui empêchera les ventricules de s'agrandir, réduisant ainsi les chances de guérison du syndrome. Les ventricules effondrés peuvent également bloquer la valve de dérivation, entraînant une obstruction. Étant donné que les effets du syndrome du ventricule fendu sont irréversibles, une attention constante dans la gestion de la maladie est nécessaire[30],[31].
Hémorragie intraventriculaire
Une hémorragie intraventriculaire peut survenir à tout moment pendant ou après l'insertion ou la révision d'une dérivation. Des hémorragies intraparenchymateuses de nature multifocale ont également été décrites dans la population pédiatrique à la suite d'une dérivation ventriculo-péritonéal[34]. L'hémorragie peut provoquer une altération de la fonction de la dérivation pouvant entraîner de graves déficiences neurologiques[31]. Des études ont montré qu'une hémorragie intraventriculaire peut survenir dans près de 31 % des révisions de dérivation[35].
Résultats et pronostic
- Cicatrisation chirurgicale d'une plaie à la suite de la pose d'une dérivation ventriculo-péritonéal (dérivation VP)
Incision suturée au niveau pariétal postérieur au jour 6
Plaie abdominale au jour 12
Plaie au niveau pariétal postérieur au jour 15, points de suture enlevés.
Plaie abdominale au jour 15, points de suture enlevés.
Suppression de la dérivation
Bien qu'il y ait eu de nombreux cas de patients atteignant «l'indépendance de la dérivation», il n'y a pas de consensus parmi les médecins sur la manière de déterminer quels patients pourraient survivre sans dérivation. Il peut être très difficile de déterminer si un patient peut être indépendant de la dérivation, sauf dans certaines circonstances très spécifiques. Dans l’ensemble, le retrait permanent d’une dérivation est une procédure rare mais non inconnue[36].
Notes et références
- Hlatky, Valadka et Robertson, « Intracranial hypertension and cerebral ischemia after severe traumatic brain injury », Neurosurgical Focus, vol. 14, no 4, , e2 (PMID 15679301, DOI 10.3171/foc.2003.14.4.2)
- Bradley, Bahl et Alksne, « Idiopathic normal pressure hydrocephalus may be a 'Two Hit' disease: Benign external hydrocephalus in infancy followed by deep white matter ischemia in late adulthood », Journal of Magnetic Resonance Imaging, vol. 24, no 4, , p. 747–55 (PMID 16958056, DOI 10.1002/jmri.20684, S2CID 41201974)
- Jain, Natarajan et Sgouros, « Influence of the shunt type in the difference in reduction of volume between the two lateral ventricles in shunted hydrocephalic children », Child's Nervous System, vol. 21, no 7, , p. 552–8 (PMID 15682319, DOI 10.1007/s00381-004-1096-y, S2CID 1992388)
- Boockvar, Loudon et Sutton, « Development of the Spitz—Holter valve in Philadelphia », Journal of Neurosurgery, vol. 95, no 1, , p. 145–7 (PMID 11453388, DOI 10.3171/jns.2001.95.1.0145)
- « http://www.uh.edu/engines/epi2582.htm »(Archive.org • Wikiwix • Archive.is • Google • Que faire ?)
- « http://www.medterms.com/script/main/art.asp?articlekey=26245 »(Archive.org • Wikiwix • Archive.is • Google • Que faire ?)
- Anti-Siphon Device; Integra Neurosciences; Label 2002[réf. non conforme]
- Morone, Dewan, Zuckerman et Tubbs, « Craniometrics and Ventricular Access: A Review of Kocher's, Kaufman's, Paine's, Menovksy's, Tubbs', Keen's, Frazier's, Dandy's, and Sanchez's Points », Operative Neurosurgery (Hagerstown, Md.), vol. 18, no 5, , p. 461–469 (PMID 31420653, DOI 10.1093/ons/opz194, lire en ligne)
- Frazier, « Operation for the Radical Cure of Trigeminal Neuralgia: Analysis of Five Hundred Cases », Annals of Surgery, vol. 88, no 3, , p. 534–547 (PMID 17865965, PMCID 1398890, DOI 10.1097/00000658-192809000-00021)
- Rizvi et Wood, « Ventriculosubgaleal Shunting for Post-Haemorrhagic Hydrocephalus in Premature Neonates », Pediatric Neurosurgery, vol. 46, no 5, , p. 335–9 (PMID 21346395, DOI 10.1159/000320135, S2CID 25944620)
- Schrander-Stumpel et Fryns, « Congenital hydrocephalus: Nosology and guidelines for clinical approach and genetic counselling », European Journal of Pediatrics, vol. 157, no 5, , p. 355–62 (PMID 9625330, DOI 10.1007/s004310050830, S2CID 24682611)
- Zuccaro, Sosa, Cuccia et Lubieniecky, « Lateral ventricle tumors in children: a series of 54 cases », Child's Nervous System, vol. 15, nos 11–12, , p. 774–85 (PMID 10603022, DOI 10.1007/s003810050470, S2CID 24045529)
- Collmann, Sörensen et Krauss, « Hydrocephalus in craniosynostosis: a review. », Child's Nervous System, vol. 21, no 10, , p. 902–12 (PMID 15864600, DOI 10.1007/s00381-004-1116-y, S2CID 9767488)
- Tal, Freigang, Dunn et Durity, « Dandy-Walker syndrome: analysis of 21 cases. », Developmental Medicine and Child Neurology, vol. 22, no 2, , p. 189–201 (PMID 7380119, DOI 10.1111/j.1469-8749.1980.tb04327.x, S2CID 32441138)
- Tal, Freigang, Dunn et Durity, « Dandy-Walker Syndrome: Analysis of 21 Cases », Developmental Medicine & Child Neurology, vol. 22, no 2, , p. 189–201 (PMID 7380119, DOI 10.1111/j.1469-8749.1980.tb04327.x, S2CID 32441138)
- Imaging in Dandy-Walker Malformation
- Samii, Carvalho, Schuhmann et Matthies, « Arachnoid cysts of the posterior fossa », Surgical Neurology, vol. 51, no 4, , p. 376–82 (PMID 10199290, DOI 10.1016/S0090-3019(98)00095-0)
- « Health Content A-Z »
- Drake, Kestle et Tuli, « CSF shunts 50 years on – past, present and future », Child's Nervous System, vol. 16, nos 10–11, , p. 800–4 (PMID 11151733, DOI 10.1007/s003810000351, S2CID 25864131)
- « Factors affecting ventriculoperitoneal shunt survival in adult patients », Surgical Neurology International, vol. 6, , p. 25 (PMID 25722930, PMCID 4338490, DOI 10.4103/2152-7806.151388)
- Enger, Svendsen et Wester, « CSF shunt infections in children: experiences from a population-based study », Acta Neurochirurgica, vol. 145, no 4, , p. 243–8; discussion 248 (PMID 12748883, DOI 10.1007/s00701-002-1068-5, S2CID 21186907)
- Brook, « Meningitis and shunt infection caused by anaerobic bacteria in children », Pediatric Neurology, vol. 26, no 2, , p. 99–105 (PMID 11897473, DOI 10.1016/S0887-8994(01)00330-7)
- Shah, Smith et Zaoutis, « Device-related Infections in Children », Pediatric Clinics of North America, vol. 52, no 4, , p. 1189–208, x (PMID 16009263, DOI 10.1016/j.pcl.2005.05.003)
- James, Walsh, Wilson et Connor, « Prospective randomized study of therapy in cerebrospinal fluid shunt infection », Neurosurgery, vol. 7, no 5, , p. 459–63 (PMID 7003434, DOI 10.1097/00006123-198011000-00006)
- Steinbok et Cochrane, « Ventriculosubgaleal shunt in the management of recurrent ventriculoperitoneal shunt infection », Child's Nervous System, vol. 10, no 8, , p. 536–9 (PMID 7882378, DOI 10.1007/BF00335079, S2CID 26271856)
- Morris et Low, « Nosocomial bacterial meningitis, including central nervous system shunt infections », Infectious Disease Clinics of North America, vol. 13, no 3, , p. 735–50 (PMID 10470564, DOI 10.1016/s0891-5520(05)70103-3)
- Wong, Wong et Poon, « Ventriculoperitoneal shunt infection: intravenous antibiotics, shunt removal and more aggressive treatment? », ANZ Journal of Surgery, vol. 81, no 4, , p. 307 (PMID 21418491, DOI 10.1111/j.1445-2197.2011.05690.x, S2CID 29313810)
- Schreffler, Schreffler et Wittler, « Treatment of cerebrospinal fluid shunt infections: a decision analysis », The Pediatric Infectious Disease Journal, vol. 21, no 7, , p. 632–6 (PMID 12237594, DOI 10.1097/00006454-200207000-00006, S2CID 33213930)
- Jones, Stening, Kwok et Sands, « Third Ventriculostomy for Shunt Infections in Children », Neurosurgery, vol. 32, no 5, , p. 855–9; discussion 860 (PMID 8492866, DOI 10.1227/00006123-199305000-00024)
- Browd, Gottfried, Ragel et Kestle, « Failure of Cerebrospinal Fluid Shunts: Part II: Overdrainage, Loculation, and Abdominal Complications », Pediatric Neurology, vol. 34, no 3, , p. 171–6 (PMID 16504785, DOI 10.1016/j.pediatrneurol.2005.05.021)
- Martínez-Lage, Ruíz-Espejo, Almagro et Alfaro, « CSF overdrainage in shunted intracranial arachnoid cysts: a series and review », Child's Nervous System, vol. 25, no 9, , p. 1061–9 (PMID 19452154, DOI 10.1007/s00381-009-0910-y, S2CID 7373059)
- C Mancarella, R Delfini et A Landi, New Trends in Craniovertebral Junction Surgery, vol. 125, coll. « Acta Neurochirurgica Supplement », , 89–95 p. (ISBN 978-3-319-62514-0, PMID 30610307, DOI 10.1007/978-3-319-62515-7_13, S2CID 58559862), « Chiari Malformations »
- Gkolemis, C; Zogopoulos, P; Kokkalis, P; Stamatopoulos, G; Syrmos, N; and Paleologos, T.S. (2014) "Management of multiple, late onset complications in a 33-year-old female, with a ventriculoperitoneal shunt and crohn's disease", Pakistan Journal of Neurological Sciences (PJNS): Vol. 9: Iss. 3, Article 10.
- Oushy, Parker, Campbell et Palmer, « Frontal and occipital horn ratio is associated with multifocal intraparenchymal hemorrhages in neonatal shunted hydrocephalus », Journal of Neurosurgery. Pediatrics, vol. 20, no 5, , p. 432–438 (ISSN 1933-0715, PMID 28885094, DOI 10.3171/2017.6.PEDS16481)
- Brownlee, Dold et Myles, « Intraventricular Hemorrhage Complicating Ventricular Catheter Revision: Incidence and Effect on Shunt Survival », Pediatric Neurosurgery, vol. 22, no 6, , p. 315–20 (PMID 7577666, DOI 10.1159/000120922)
- Iannelli, Rea et Di Rocco, « CSF shunt removal in children with hydrocephalus », Acta Neurochirurgica, vol. 147, no 5, , p. 503–7; discussion 507 (PMID 15838593, DOI 10.1007/s00701-005-0494-6, S2CID 20809384)
- Portail de la médecine