Fibrine

La fibrine est une protéine filamenteuse issue du fibrinogène sous l'action de la thrombine lors de la coagulation sanguine[1]. Elle appartient à la famille des protéines fibreuses. Il s'agit d'une des matières albuminoïdes du sang, qui en contient normalement 2 à 4 %.

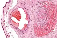
Photographie au microscope montrant la fibrine (partie amorphe rose foncé) dans une veine bloquée entourée d'une extravasation d'érythrocytes (à droite de l'image). Une artère (à gauche de l'image) est aussi visible. Coloration à l'hématoxyline et à l'éosine.

La fibrine, qui se rencontre aussi dans la lymphe et, en général, dans tous les exsudats séreux, se retire du sang par le battage. Elle se présente alors sous la forme de filaments blancs qui se voient dans le cas de plaies ulcéreuses. Desséchée, elle ressemble à de la corne. Soluble dans une solution de sel marin, de sulfate et de phosphate de soude, elle se coagule par les acides.

La fibrine ne préexiste pas dans le sang ; elle n'apparaît qu'au moment de la coagulation. La coagulation est la transformation du fibrinogène (soluble) par la thrombine en fibrine insoluble qui conduit à la formation d'un caillot. Dans un caillot, la fibrine forme un maillage qui emprisonne les cellules sanguines.

Sources et références

  • icône décorative Portail de la biochimie
  • icône décorative Portail de la biologie cellulaire et moléculaire
  • icône décorative Portail de l’hématologie
Cet article est issu de Wikipedia. Le texte est sous licence Creative Commons – Attribution – Partage à l’identique. Des conditions supplémentaires peuvent s’appliquer aux fichiers multimédias.