Fracture du bassin
Une fracture du bassin est une rupture de la continuité, partielle ou totale, du bassin osseux. Cela inclut toute fracture du sacrum, des os de la hanche (ischion, pubis, ilium) ou du coccyx.

Ces fractures sont divisées en deux types : les fractures de la ceinture pelvienne (dites fractures pelviennes ou du pelvis) qui ne touchent pas l'articulation coxale, et les fractures du cotyle (dites acétabulaires) où un trait de fracture passe par la surface articulaire de l'os coxal. Ces deux types de fractures peuvent être stables ou instables.
Les fractures stables ont généralement une bonne évolution, alors que les fractures instables sont le plus à risque de complications, en particulier hémorragiques. Ces fractures instables s'intègrent le plus souvent dans un cadre de polytraumatisme. Les fractures du bassin constituent la troisième cause de mortalité lors d'accidents de la route après les traumatismes crâniens et les traumatismes du thorax.
Causes
Le plus souvent, les fractures du bassin sont la conséquence d'un traumatisme majeur (accidents à haute énergie cinétique) comme l'accident de la route, la cause la plus fréquente étant l'accident de moto. Les autres causes courantes sont les piétons heurtés par un véhicule, les chutes de grande hauteur (plus de 5 m), et les écrasements[1],[2].
Le contexte est alors celui d’un polytraumatisme dans près de 75 % des cas : lésions du crâne, des membres, de l'abdomen et du thorax[3].
Chez les adolescents sportifs (accident d'athlétisme), les personnes âgées ou fragilisées (ostéoporose par exemple), un traumatisme moins important peut entraîner une fracture du bassin, le plus souvent simple et peu déplacée[4].
Épidémiologie
Les fractures du bassin sont relativement peu fréquentes, représentant de 1,5% à 3 % des fractures de l'adulte[5],[3], mais elles peuvent être graves en constituant la troisième cause de mortalité lors d'accidents de la route après les traumatismes crâniens et les traumatismes du thorax[6].
Aux États-Unis d'Amérique, environ 10 % des personnes qui consultent un centre de traumatologie de niveau 1 après une blessure contondante souffrent d'une fracture du bassin[2]. Ces fractures surviennent chez 37 personnes sur cent mille chaque année, la tranche d'âge la plus touchée est 15-28 ans. En dessous de 35 ans, les hommes sont plus souvent touchés que les femmes, l'inverse au dessus de 35 ans[4].
En France, selon une étude publiée en 2020 portant sur la période 2006-2016, les fractures du bassin sont en augmentation, surtout chez les personnes âgées. L'incidence des fractures pelviennes serait passée, dans la même période, de 17,1 à 28,3 sur cent mille, et pour les plus de 75 ans de 129 à 210 sur cent mille. Pour les fractures du cotyle ou acétabulaires, de 3,6 à 4,9 et pour les plus de 75 ans de 17 à 23,1[7].
Cette augmentation, qui se retrouve aussi en Europe et en Amérique du nord, serait due au vieillissement de la population, à l'ostéoporose liée à l'âge, et à la plus grande activité physique des personnes âgées[7].
Mécanismes
Le bassin est une structure osseuse formant un anneau en entonnoir, particulièrement stable dans son intégrité. Les éléments osseux sont maintenus par deux systèmes principaux de ligaments : en avant celui de la symphyse pubienne, et en arrière celui de l'articulation sacro-iliaque, les deux réunis par les ligaments du plancher pelvien.
Fractures pelviennes

Une fracture de cet anneau osseux est susceptible de déstabiliser l'ensemble, d'autant plus qu'elle est multiple, avec des lésions ligamentaires et des structures anatomiques situées dans ou en dehors du bassin. Des forces très importantes sont nécessaires : par exemple il faut une force d'au moins 800 kg pour produire une rupture des ligaments sacro-iliaques[8].
En fonction des forces appliquées sur le bassin, trois mécanismes sont décrits :
- La compression antéro-postérieure : elle endommage d'abord les ligaments de la symphyse pubienne, suivi de la rupture des ligaments du plancher pelvien (ligaments sacro-iliaques), et enfin fracture des deux cadres obturateurs.
- La compression latérale : elle se traduit par des fractures du cadre obturateur, de l'aile iliaque (dite fracture de Malgaigne), ou d'un aileron sacré (dite fracture de Voillemier[9]).
- La compression verticale : un choc asymétrique sur une moitié d'un pelvis (chute de hauteur ou collision à grande vitesse) peut entrainer un cisaillement avec déplacement vertical du même type de lésions rencontrées dans les compressions latérales.

Un quatrième mécanisme est dit « complexe ou combiné », lorsqu'il associe plusieurs des mécanismes précédents.
En raison des forces impliquées, les fractures pelviennes provoquent souvent des lésions des organes contenus dans le bassin osseux, notamment le système urogénital. De plus, les traumatismes des organes extra-pelviens sont fréquents (reins, foie, rate...).
La gravité de ces fractures tient au risque hémorragique en raison d'un apport sanguin important dans le petit bassin (déchirure vasculaire par fragment osseux). Cette hémorragie est d'origine veineuse dans 80 % des cas. Les veines du plexus présacré (veine sacrale médiane et veine sacrale latérale) et l'artère obturatrice sont particulièrement vulnérables[10].
Dans le cas de fracture du bassin par compression antéro-postérieure, dite open book « à livre ouvert », la symphyse pubienne peut se rompre et s'écarter en s'ouvrant comme un livre. La cavite du bassin augmente de volume, et ne joue plus son « rôle tampon » en restant fermée. Le risque principal est alors l'hématome du rétropéritoine qui peut aller jusqu'à 4 litres de sang, avec déséquilibre hémodynamique et état de choc hypovolémique[4],[11].
Fractures du cotyle
Les fractures du cotyle peuvent résulter d’un choc sur la région trochantérienne, la tête fémorale est alors poussée dans le bassin (chute sur le trochanter, de sa hauteur pour la personne âgée, chute de plus grande hauteur pour le sujet jeune)[8],[12].
Elles peuvent aussi résulter d’un choc dans l’axe du fémur : typiquement lors d'un accident de voiture où le genou du conducteur vient heurter le tableau de bord, provoquant une luxation postérieure de hanche avec fracture du rebord postérieur. Ce type de lésion, survenant sur le sujet jeune par accident à haute énergie cinétique, a été réduit de façon significative par l'obligation de porter la ceinture de sécurité[12].
Classifications
On distingue les fractures de l'anneau pelvien qui sont non-articulaires, et les fractures du cotyle dites aussi acétabulaires où un trait de fracture passe par la surface articulaire en rapport avec la tête fémorale.
Ces fractures peuvent être stables (non ou peu déplacées) ou instables (à risque élevé de complications).
Fractures pelviennes
Il existe de nombreuses classifications[13], dont les plus utilisées sont :
Classification de Young-Burgess
Cette classification, proposée en 1986, se base selon les trois mécanismes déjà décrits (antéro-postérieur, latéral, vertical), chacun avec trois degrés d'intensité, de I à III, avec leurs lésions spécifiques[13].
Classification de Tile
Elle se base le concept de stabilité des fractures à partir de l’intégrité du complexe sacro-iliaque postérieur[11],[13] :
- type A : le complexe sacro-iliaque est intact. L'anneau pelvien présente une fracture stable qui peut être gérée de manière non chirurgicale.
- type B : des forces de rotation externe ou interne entraînent une fracture partielle du complexe sacro-iliaque postérieur, le plus souvent instable sur le plan horizontal.
- type C : une fracture complète du complexe sacro-iliaque postérieur. Ces fractures sont instables sur le plan horizontal et vertical.
Classification WSES
Cette classification (WSES pour World Society of Emergency Surgery) prend en compte l'état hémodynamique du blessé, en proposant trois degrés de gravité[10] :
- Type 1 (mineur) : fractures stables avec bon équilibre hémodynamique.
- Type 2 (modéré) : fractures instables avec bon équilibre hémodynamique.
- Type 3 (grave) : fracture instables avec déséquilibre hémodynamique, indépendamment du mécanisme des lésions.
Fractures du cotyle

Les fractures du cotyle dépendent de la classification de Judet-Letournel, établie en 1964, et qui reste le gold standard au XXIe siècle[12].
Dans cette classification, l'os iliaque est considéré comme formé de deux colonnes : l'une antérieure ou ilio-pubienne, l'autre postérieure ou ilio-ischiatique, réunies par une clé de voûte : le toit du cotyle.
Les fractures du cotyle sont alors classées en dix catégories réparties en deux groupes (fractures élémentaires et fractures complexes) :
- Les fractures élémentaires concernent une seule colonne, antérieure ou postérieure, elles sont souvent associées à une luxation de hanche. Les auteurs en distinguent cinq : fracture du rebord postérieur, de la colonne postérieure, de la paroi antérieure, de la colonne antérieure, et la fracture transversale.
- Les fractures mixtes ou complexes, associant deux ou plusieurs fractures élémentaires, avec fracture des deux colonnes, décrites aussi en cinq variétés[12].
30 % des fractures du cotyle sont associées à des fractures pelviennes[8].
Clinique
Prise en charge
La prise en charge suit généralement une réanimation traumatologique avancée[4]. Cela commence par une évaluation des fonctions vitales, et de l'état hémodynamique en particulier.
Dans un second temps, l'examen clinique est complet, neurologique et vasculaire, de la tête aux pieds, car un traumatisme du bassin s'inscrit le plus souvent dans un polytraumatisme[11].
Les symptômes comprennent des douleurs, en particulier lors des mouvements avec une impotence fonctionnelle variable. Un gonflement et des ecchymoses (hématome du périnée) peuvent en résulter, notamment des blessures à fort impact[5],[11]
Le toucher rectal peut ramener du sang, orientant vers une lésion gastro-intestinale. Du sang au méat urétral (urétrorragie), une hématurie orientent vers une lésion urinaire[11].
Complications
Les fractures ouvertes (avec ouverture cutanée) ajoutent un risque d'infection.
Lésions vasculaires et hématome rétropéritonéal
Elles surviennent par embrochage osseux des vaisseaux du petit bassin. Les pertes sanguines peuvent constituer un hématome massif du rétropéritoine(de 1,5 à plus de 4 l de sang) avec choc hypovolémique [4],[14]. Cette situation peut entrainer un iléus paralytique se présentant comme un syndrome abdominal aigu.
Lésions urogénitales
Le traumatisme initial peut entrainer une rupture de l'urètre, des lésions du vagin et du rectum. La vessie peut être embrochée par un fragment osseux. Ces lésions se manifestent par une hématurie ou une rétention urinaire[11].
Lésions nerveuses
Elles surviennent par étirement ou compression, notamment du plexus lombo-sacré et du nerf sciatique. Elles se manifestent par un déficit moteur ou sensitif[11].
Lésions associées
Elles sont fréquentes, entrant dans le cadre des polytraumatismes : fractures osseuses (crâne, rachis, thorax, membres), lésions viscérales abdominales (foie, rate, rein…). Elles nécessitent chacune un traitement spécifique[10].
Imagerie
Si une personne est tout à fait consciente et ne ressent aucune douleur au bassin, une imagerie médicale du bassin n’est pas nécessaire[1].
La plupart des polytraumatisés ont une scanographie de routine de l'abdomen et du pelvis. Cependant, pour les traumatisés instables sur le plan hémodynamique, la radiologie standard permet un diagnostic rapide pour un traitement d'urgence.
Radiologie standard
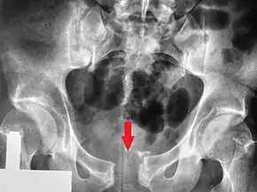
De nombreuses incidences radiologiques ont été évaluées par le passé. Une incidence de face du bassin est la première radiographie à réaliser dès l’admission d’un patient pour lequel on suspecte une lésion de l’anneau pelvien. Les radiographies standards révèlent 90 % des fractures du bassin[3].
Différentes incidences obliques sont indiquées en cas de suspicion de fracture du bassin non objectivable sur la radiographie de face. En en cas de suspicion de lésions particulières (fracture isolée du sacrum, fracture du cotyle…) des radiographies spécifiques peuvent être demandées.
Scanographie
Le CT-scan a pris une place considérable dans l’imagerie des traumatismes du bassin. Il est devenu possible d’obtenir des reconstructions en 3D permettant une meilleure visualisation anatomique avec évaluation des saignements dans le péritoine ou le rétropéritoine. Il permet aussi de confirmer une dislocation de hanche avec fracture du cotyle[10],[11].
IRM
La résonance magnétique est peu indiquée. Certains travaux ont montré sa supériorité dans des circonstances particulières, telles que la détection des fragments cartilagineux ou de tissus mous intra-articulaires, l’appréciation de l’état vasculaire de la tête fémorale ou la détection de fractures occultes notamment chez le sujet âgé. Cependant, sa place est actuellement mineure dans les traumatismes du bassin, en tout cas lors de la phase aiguë[3].
Autres
Les lésions urogénitales sont explorées par cystographie ou par cystographie rétrograde selon le type de lésion.
L'angiographie pelvienne peut être indiquée chez les traumatisés dont l'hémorragie persiste malgré les perfusions et la stabilisation du bassin.
Biologie
Des examens de laboratoires peuvent être utiles pour évaluer le risque hémorragique, tels que les gaz du sang artériel (mesure des lactates du sérum et équilibre acido-basique). Les taux d'hémoglobine ou l'hématocrite sont moins fiables pour évaluer une hémorragie aigüe d'origine traumatique[11],[10].
Un autre examen utile est le bilan de la coagulation (exploration de l'hémostase) qui permettent d'orienter la réanimation par transfusion sanguine[11],[10].
Traitement
Principes
Une fracture pelvienne est souvent compliquée et le traitement peut être un processus long et douloureux. Selon leur gravité, les fractures du bassin peuvent être traitées avec ou sans chirurgie. En principe, la chirurgie s'adresse aux fractures déplacées et articulaires instables. Ces évaluations se font au cas par cas[4].
Une approche multidisciplinaire est cruciale dans la prise en charge des fractures du bassin, surtout dans les premières heures. Les équipes d'urgence doivent intégrer des chirurgiens de traumatologie, des chirurgiens orthopédiques, des radiologistes interventionnels, des anesthésistes, des médecins de soins critiques, et des urologues[10].
Initial
En situation d'urgence, après vérification des fonctions vitales, il faut évaluer l'état hémodynamique, arrêter les éventuelles hémorragies et remplacer les liquides perdus. Le contrôle du saignement peut être obtenu par stabilisation du bassin. D'autres moyens sont l'embolisation ou un compactage prépéritonéal (mise en place de grandes compresses chirurgicales dans le prépéritoine)[11].
Le bassin doit être stabilisé avec une ceinture pelvienne, sauf dans le cas de fractures par compression latérale[4]. Il peut s’agir d’un appareil spécialement conçu, mais des ceintures pelviennes improvisées ont également été utilisées avec succès dans le monde entier[15]. La stabilisation de l'anneau pelvien réduit la perte de sang des vaisseaux pelviens et le risque de décès[11].
Orthopédie
Dans les fractures mineures ou peu déplacées, avec état hémodynamique stable, le traitement reste orthopédique : mise en traction-suspension ou en traction dans l'axe par une broche trans-osseuse.
Chirurgie
La chirurgie est souvent nécessaire en cas de fractures pelviennes, et en raison des améliorations modernes (anesthésie, imagerie, approche multidisciplinaire et meilleure compréhension du traumatisme) beaucoup plus utilisée au XXIe siècle que dans le passé[4]. C'est particulièrement le cas dans les fractures du cotyle[16].
De nombreuses méthodes de stabilisation pelvienne sont utilisées, notamment la fixation externe, la fixation interne (plaque vissée), ostéosynthèse et la traction[4],[12]
Il existe souvent d’autres blessures associées à une fracture du bassin, le type d’intervention chirurgicale impliqué doit donc être soigneusement planifié[17].
Rééducation
Une fois que la fracture est suffisamment guérie, la rééducation peut commencer en se tenant debout avec l'aide d'un physiothérapeute, puis en commençant à marcher à l'aide d'un déambulateur et éventuellement en progressant vers une canne .
Pronostic
Le risque de décès en cas de fracture instable est d'environ 8 à 15 %[1], ceux avec également une fracture ouverte jusqu'à 45 %, et ceux avec choc hémorragique ont un risque de décès proche de 50 %[18].
La majorité des décès (44.7%) surviennent dans les heures qui suivent l'accident, le plus souvent associés à l'âge, l'instabilité des fractures, l'état hémodynamique, la dimension et la contamination des lésions cutanées ouvertes, les lésions viscérales et le polytraumatisme associé (traumatisme crânien)[10].
Le risque de décès est de l'ordre de 0.4% to 0.8% pour les fractures pelviennes isolées[11].
Les séquelles chroniques importantes sont surtout présentes dans les traumatismes ouverts du bassin : incontinence fécale ou urinaire, impuissance et dyspareunie, complications vasculaires, douleurs chroniques[10]. Les séquelles orthopédiques sont le cal vicieux et la pseudarthrose[3]. Des états anxio-dépressifs avec retentissement sur la vie familiale et socio-professionnelle peuvent nécessiter l'aide de professionnels et d'acteurs psycho-sociaux[4].
Histoire
Des origines au XVIIIe siècle
L'un des plus anciens traumatisme du bassin connu a été retrouvé sur le site mésolithique de Columnata (Algérie). Un squelette féminin (8e millénaire avant J.C., culture de l'ibéromaurusien) présente un bassin multifracturé (chute de grande hauteur ou écrasement)[19]:
Une véritable dislocation du bassin probablement consécutive à un écrasement vertical du sujet. L’éclatement du cotyle gauche a expulsé la tête fémorale et le sacrum, télescopé longitudinalement, est réduit au tiers de sa hauteur normale. Il existe en outre des lésions de la colonne lombaire. L’ensemble des traits de fracture est consolidé et la tête fémorale expulsée s’est même soudée au sourcil cotyloidien (...) On peut, par l’état du sacrum, être certain d’une totale paralysie du plexus sacré, donc des deux membres inférieurs.
La consolidation des lésions indique que cette femme a pu survivre au moins plusieurs mois, démontrant qu'il pouvait exister, dans cette culture mésolithique, une assistance totale et prolongée[20],[19].
En Égypte antique, le plus ancien traité chirurgical connu est le Papyrus Edwin Smith qui traite des fractures de la tête aux pieds, mais dont le texte est interrompu aux vertèbres thoraciques. L'approche des fractures du bassin est donc absente, mais les concepts de stabilisation et d'immobilisation des fractures, de réduction des déformations, et de contrôle des hémorragies étaient connus des anciens égyptiens[21].

La première mention de fracture du cotyle ou acétabulaire se trouve dans l'Iliade d'Homère. Le héros Énée est frappé à la hanche par une énorme pierre lancée par Diomède[16] :
Là où deux mortels ne pourraient suffire, deux mortels de nos jours, Diomède, à lui seul, prit la pierre. Il la jetta soudain sur Énée à l'endroit de la hanche où s'articule la cuisse, endroit qu'on appelle cotyle. Elle broya le cotyle, les deux tendons se rompirent, l'âpre pierre écorcha la peau du héros ; tombé raide, il chercha, à genou, un appui sur le sol de sa lourde main : ses yeux aussitôt se couvrirent de nuit ténébreuse[22]…
Selon Grmek, les deux tendons pourraient être soit les ligaments ilio-fémoral et pubo-fémoral, soit ceux du muscle crural et du muscle vaste externe[23].
Quatre siècles après Homère, Hippocrate décrit des luxations de la hanche, mais il ne distingue pas les luxations ou dislocations de hanche des fractures osseuses proprement dites. Ces connaissances n'évoluent guère jusqu'au XVIIIe siècle[16].
En 1847, dans son Traité des fractures, Malgaigne mentionne plusieurs auteurs d'observations sur les fractures du bassin, notamment[24] :
- Paul d'Égine au VIIe siècle qui traite de la même façon les fractures simples et compliquées du sacrum ;
- Ambroise Paré au XVIe siècle qui décrit des fractures du sacrum « par coup de boulet » ;
- Joseph-Guichard Du Verney (1648-1730) qui distingue les fractures de la crête iliaque ;
- Astley Paston Cooper (1768-1841) qui distingue les fractures du cotyle (à l'autopsie)[16].
XIXe siècle
L'histoire moderne des fractures du bassin commence avec le Traité des fractures et des luxations (1847) de Joseph-François Malgaigne (1806-1865) qui fait la synthèse des connaissances de son temps, avec ses observations personnelles (cas cliniques et examen des pièces anatomiques des collections et musées français et étrangers[25]). Malgaigne souligne la rareté des fractures du bassins (moins d'une par an à l'Hôtel-Dieu de Paris)[24]. Ces fractures proviennent d'accidents violents (défenestration, notamment avec chute sur les pieds, coup de sabot, écrasement sous une roue ou entre deux chariots…)[21].
Malgaigne décrit les différentes fractures isolées des pièces osseuses du bassin, et il est le premier à distinguer ce qu'il appelle la double fracture verticale du bassin, antérieure et postérieure et qui entraine des déplacements avec déchirures viscérales « de là, un péril de mort qui tient beaucoup plus à ces complications qu'à la lésion osseuse ». Le plus souvent, soit les blessés ne souffrent que de fractures mineures, soit ils succombent rapidement après un traumatisme majeur[21].
Malgaigne diagnostique les fractures du bassin par les déformations et mobilité anormale d'un membre inférieur, la mesure du déplacement des repères osseux, et la crépitation osseuse (bruit que font les surfaces des fragments fracturés en frottant l'une contre l'autre), crépitation qui se palpe et se transmet à la main et s'entend à l'oreille. Il précise les divers déplacements par le toucher rectal et vaginal[21],[24].
Il traite les fractures du bassin par réduction suivie d'une traction-immobilisation sur un lit mécanique en double-plan incliné pendant au moins 45 ou 50 jours. Pour ceux qui survivent à leur accident, il y a un risque de suppuration des lésions en cas de fracture ouverte[21]. « Enfin, le péril de mort écarté, la claudication est fortement à craindre », le blessé restant handicapé avec une jambe plus courte que l'autre. Chez la femme, le rétrécissement du bassin peut avoir des conséquences mortelles lors d'un accouchement[24].
En parallèle, l'anglais Charles Hewitt Moore (1821-1870)[26] publie en 1851 un cas très détaillé d'une dislocation du bassin avec fracture acétabulaire en étudiant le mécanisme des forces mis en jeu[21],[27].
Première moitié
En 1895 Wilhem Röntgen découvre les rayons X. La radiologie révolutionne le diagnostic, la classification, et le suivi thérapeutique des fractures du bassin. La première moitié du XXe siècle est dominée par la figure de Frank Wild Holdsworth (en) (1904-1969), spécialiste mondial du sujet[21].
En 1948, Holdsworth publie une étude portant sur 50 cas de fractures du bassin[28] en décrivant deux entités : la luxation de l'articulation sacro-iliaque, et les fractures adjacentes à cette articulation. Dans les deux cas, il existe une séparation de la symphyse pubienne avec fracture des branches pubiennes et déplacement d'une moitié du pelvis. Cette première classification a une valeur prédictive pour la récupération fonctionnelle des patients[21].
Holdsworth améliore la mise en place d'une ceinture pelvienne suivie d'immobilisation au lit et de traction prolongée sur plusieurs semaines, mais le principe de ce traitement reste le même que celui du temps de Malgaigne, c'est-à-dire un traitement orthopédique non chirurgical[21].
L'ère automobile
Après la deuxième guerre mondiale, le nombre croissant d'accidents de la route dans les pays développés montre l'importance des hémorragies internes dans les fractures du bassin. De nouvelles classifications sont proposées, liées aux mécanismes des lésions et à la prise en charge[21].
Dans la deuxième moitié du XXe siècle, avec les progrès de la réanimation et des soins intensifs, les chirurgiens se font plus interventionnistes pour stabiliser le bassin en espérant réduire ainsi l'hémorragie : d'abord par fixation externe, puis progressivement par fixation interne. À partir des années 1980, la fixation interne de toutes les fractures instables du bassin devient une règle standard internationale de traitement[21].
L'approche des fractures du cotyle (ou acétabulaires) suit le même processus. En 1964, Judet et Letournel proposent une classification non seulement anatomique mais aussi pré-opératoire. Ils recommandent une chirurgie précoce pour une réduction ouverte et une fixation interne, en précisant les voies d'abord chirurgicales, contrairement à l'approche dominante d'alors (traitement conservateur, orthopédique non chirurgical). Les idées de Letournel mettront une quinzaine d'années avant de s'imposer aux États-Unis[16].
Au XXIe siècle, les fractures du bassin continuent de faire l'objet de recherches, notamment imageries 3D et techniques informatiques. Les fractures pelviennes à haute énergie cinétique posent toujours des problèmes de soins intensifs du choc hémorragique, et de mise en place des procédés de fixation, tandis que les fracturés du cotyle sont des patients de plus en plus âgés[16],[21].
Notes et références
- (en) Cet article est partiellement ou en totalité issu de l’article de Wikipédia en anglais intitulé « Pelvic fracture » (voir la liste des auteurs).
- ATLS - Advanced Trauma Life Support - Student Course Manual, 10, , 89, 96–97 (ISBN 9780996826235)
- Jean-Louis Vincent, Textbook of Critical Care., Philadelphia, PA, 6th, (ISBN 9781437713671), p. 1523
- Elyazid Mouhsine, Raffaele Garofalo, Nicolas Theumann et François Chevalley, « Traumatismes du bassin », Rev Med Suisse, vol. 184, no 46, , p. 2723–2730 (lire en ligne, consulté le )
- Donald D. Davis, Lisa A. Foris, Steven M. Kane et Muhammad Waseem, « Pelvic Fracture », dans StatPearls, StatPearls Publishing, (PMID 28613485, lire en ligne)
- « Pelvic Fractures », OrthoInfo - AAOS, (consulté le )
- O. Borens, « Fracture du bassin », sur chuv.ch Hôpitaux universitaires de Genève,
- Elias Melhem, Guillaume Riouallon, Khalil Habboubi et Mehdi Gabbas, « Epidemiology of pelvic and acetabular fractures in France », Orthopaedics & Traumatology: Surgery & Research, vol. 106, no 5, , p. 831–839 (ISSN 1877-0568, DOI 10.1016/j.otsr.2019.11.019, lire en ligne, consulté le )
- J.P. Gallice, « Rééducation après fractures du bassin », sur Hôpitaux Universitaires de Genève,
- « CTHS - VOILLEMIER Léon Clément », sur cths.fr (consulté le )
- Federico Coccolini, Philip F. Stahel, Giulia Montori et Walter Biffl, « Pelvic trauma: WSES classification and guidelines », World Journal of Emergency Surgery : WJES, vol. 12, , p. 5 (ISSN 1749-7922, PMID 28115984, PMCID 5241998, DOI 10.1186/s13017-017-0117-6, lire en ligne, consulté le )
- Jessica E. Tullington et Nathan Blecker, « Pelvic Trauma », dans StatPearls, StatPearls Publishing, (PMID 32310530, lire en ligne)
- Stephen Hoge et Brad J. Chauvin, « Acetabular Fractures », dans StatPearls, StatPearls Publishing, (PMID 31335035, lire en ligne)
- Timothy B. Alton et Albert O. Gee, « Classifications in Brief: Young and Burgess Classification of Pelvic Ring Injuries », Clinical Orthopaedics and Related Research, vol. 472, no 8, , p. 2338–2342 (ISSN 0009-921X, PMID 24867452, PMCID 4079881, DOI 10.1007/s11999-014-3693-8, lire en ligne, consulté le )
- C. Arvieux, F. Thony, C. Broux et F. -X. Ageron, « Current management of severe pelvic and perineal trauma », Journal of Visceral Surgery, vol. 149, no 4, , e227–e238 (ISSN 1878-7886, DOI 10.1016/j.jviscsurg.2012.06.004, lire en ligne, consulté le )
- « Alternative improvised pelvic binder. », African Journal of Emergency Medicine, vol. 3, no 4, , p. 195–6 (DOI 10.1016/j.afjem.2013.04.006)
- Matej Cimerman, Anže Kristan, Marko Jug et Matevž Tomaževič, « Fractures of the acetabulum: from yesterday to tomorrow », International Orthopaedics, vol. 45, no 4, , p. 1057–1064 (ISSN 0341-2695, PMID 32964295, PMCID 8052228, DOI 10.1007/s00264-020-04806-4, lire en ligne, consulté le )
- Hancharenka, Tuzikov, A., Arkhipau, V. et Kryvanos, A., « Preoperative planning of pelvic and lower limbs surgery by CT image processing », Pattern Recognition and Image Analysis, vol. 19, no 1, , p. 109–113 (DOI 10.1134/S1054661809010209, S2CID 34590414)
- (en) Ron Walls, Robert Hockberger et Marianne Gausche-Hill, Rosen's Emergency Medicine - Concepts and Clinical Practice E-Book, Elsevier Health Sciences, (ISBN 9780323390163, lire en ligne), p. 590.
- P. Cadenat, G. Camps, M.-C. Chamla et J. Dastugue, « Columnata », Encyclopédie berbère, no 13, , p. 2052–2065 (paragraphe 36) (ISSN 1015-7344, DOI 10.4000/encyclopedieberbere.2316, lire en ligne, consulté le )
- Jean Dastugue, « La Paléopathologie », dans Jean-Charles Sournia (dir.), Histoire de la Médecine, de la Pharmacie..., vol. 1, Albin Michel / Laffont / Tchou, 1977, p. 23-27..
- Philip F. Stahel et E. Mark Hammerberg, « History of pelvic fracture management: a review », World Journal of Emergency Surgery : WJES, vol. 11, , p. 18 (ISSN 1749-7922, PMID 27148396, PMCID 4855448, DOI 10.1186/s13017-016-0075-4, lire en ligne, consulté le )
- Homère (trad. Philippe Brunet), L'Iliade, Paris, Seuil, , 558 p. (ISBN 978-2-02-097887-3), « Chant 5, Exploits de Diomède, 305-310. », p. 124.
- Mirko D. Grmek, Les maladies à l'aube de la civilisation occidentale, Paris, Payot, coll. « Médecine et sociétés », , 527 p. (ISBN 2-228-55030-2), chap. 1 (« Reflets de la réalité pathologique dans les plus anciennes sources littéraires grecques »), p. 52.
- J.F Malgaigne, Traité des fractures et des luxations, Paris, J-B Baillière, , 842 p. (lire en ligne), chap. XV (« Des fractures du bassin »), p. 834-857.
- « Malgaigne (Joseph-François), dans le dictionnaire de Dechambre (1871) », sur www.biusante.parisdescartes.fr (consulté le ), p. 339-340.
- Richard A. Brand, « Biographical Sketch: Charles Hewitt Moore, FRCS (1821–1870) », Clinical Orthopaedics and Related Research, vol. 470, no 8, , p. 2075–2076 (ISSN 0009-921X, PMID 22695867, PMCID 3392382, DOI 10.1007/s11999-012-2424-2, lire en ligne, consulté le )
- Charles Hewitt Moore, « The Classic: An Account of a Case of Fracture and Distortion of the Pelvis, Combined with an Unusual Form of Dislocation of the Femur », Clinical Orthopaedics and Related Research, vol. 470, no 8, , p. 2077–2082 (ISSN 0009-921X, PMID 22707070, PMCID 3392405, DOI 10.1007/s11999-012-2425-1, lire en ligne, consulté le )
- (en) F. W. Holdsworth, « The Classic: Dislocation and Fracture-Dislocation of the Pelvis », Clinical Orthopaedics and Related Research, vol. 470, no 8, , p. 2085 (PMID 22744200, DOI 10.1007/s11999-012-2423-3, lire en ligne, consulté le )
- Portail de la médecine