Hémosidérose
L’hémosidérose est l’accumulation d’hémosidérine dans un tissu ou dans des cellules. Elle s'observe chez l’humain et chez d’autres mammifères (les chevaux par exemple[1])

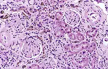
Détail d'un rein vu au microscope. Les zones brunes contiennent de l'hémosidérine.
On distingue deux types d’hémosidérose :
- l’hémosidérose primitive (ou hémochromatose) ;
- l’hémosidérose secondaire.
L’hémosidérose peut être localisée (hémosidérose localisée) ou généralisée (hémosidérose systémique).
Causes
L'hémosidérose peut avoir plusieurs causes :
- elle peut être induite par des transfusions répétées à la suite de maladies héréditaires de l’hémoglobine (exemple : Thalassémie) ;
- elle peut faire suite à des intoxications par certains métaux (cuivre, zinc peuvent être source d’hémosidérose) ; on a récemment décelé que le tungstène pouvait aussi poser problème lors de l’étude des impacts sanitaires de l’utilisation de grenaille de chasse alternatives au plomb sur les oiseaux[2] : une hémosidérose a été observée chez des canards ayant (expérimentalement) ingéré quelques billes en alliage tungstène-acier et, moindrement, des billes "tungstène-polymère"[2], sans effet apparent toutefois sur la condition physique des oiseaux testés[3].
Notes et références
- Vallance SA, Lumsden JM, Begg AP, O’Sullivan CB (2012) Idiopathic haemarthrosis in eight horses ; Aust Vet J. ; Juin 2012 ;90(6):214-20. doi: 10.1111/j.1751-0813.2012.00935.x. (résumé)
- Mitchell RR, Fitzgerald SD, Aulerich RJ, Balander RJ, Powell DC, Tempelman RJ, Stickle RL, Stevens W, Bursian SJ. (2001), Health effects following chronic dosing with tungsten-iron and tungsten-polymer shot in adult game-farm mallards ; J Wildl Dis. Juillet 2001 ;37(3):451-8. (résumé)
- Mitchell RR, Fitzgerald SD, Aulerich RJ, Balander RJ, Powell DC, Tempelmen RJ, Stevens W, Bursia SJ. (2001), Reproductive effects and duckling survivability following chronic dosing with tungsten-iron and tungsten-polymer shot in adult game-farm mallards ; J Wildl Dis. Juillet 2001 ;37(3):468-74. (résumé).
Voir aussi
Bibliographie
- (en) Tzouvelekis A, Ntolios P, Oikonomou A, Koutsopoulos A, Sivridis E, Zacharis G, Kaltsas K, Boglou P, Mikroulis D, Bouros D. (2012), Idiopathic pulmonary hemosiderosis in adults: a case report and review of the literature ; Case Rep Med. 2012;2012:267857. doi: 10.1155/2012/267857. Epub 2012 Jul 18 (résumé).
- (en) Rezkalla MA, Simmons JL. (1995), Idiopathic pulmonary hemosiderosis and alveolar hemorrhage syndrome: case report and review of the literature ; S D J Med. ; 48(3):79-85 (résumé).
- (en) Pedersen FM, Milman N. Ugeskr Laeger (1996), Idiopathic pulmonary hemosiderosis ; 1996-02-12; 158(7):902-4 (résumé).
- Portail de la médecine
Cet article est issu de Wikipedia. Le texte est sous licence Creative Commons – Attribution – Partage à l’identique. Des conditions supplémentaires peuvent s’appliquer aux fichiers multimédias.