Hypophyse
L'hypophyse (du grec ancien : ὑποφύσις / hupophúsis, « naissance ou croissance en dessous »[1]) ou glande pituitaire est une glande endocrine qui secrète de nombreuses hormones[2].


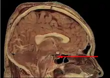
L'hypophyse se trouve dans une cavité osseuse, la fosse hypophysaire qui se situe dans l'os sphénoïde. Elle est protégée par la selle turcique. Elle est reliée à une autre partie du cerveau appelée l'hypothalamus par une tige hypophysaire (également appelée tige pituitaire). Elle produit des hormones qui gèrent une large gamme de fonctions corporelles, dont les hormones trophiques qui stimulent les autres glandes endocrines. Cette fonction lui a valu de se faire appeler par les scientifiques « glande maîtresse » du corps, mais aujourd'hui on sait que l'hypophyse est régulée par les hormones (neuro-hormones) émises par l'hypothalamus.
Cet organe existe sous sa forme typique chez tous les vertébrés.
Chez l'être humain l'hypophyse mesure environ 10 millimètres de diamètre et pèse environ 0,5 gramme[3].
Anatomie


L'hypophyse est divisée en deux lobes : l'antéhypophyse (adénohypophyse) en avant, et la posthypophyse (neurohypophyse) en arrière. L'adénohypophyse dérive du plafond de la cavité buccale primitive (stomodeum), tandis que la neurohypophyse est une extension de l'hypothalamus, relié à celui-ci par la tige pituitaire, et contient les axones de neurones dont les corps cellulaires se trouvent dans l'hypothalamus. On peut également trouver entre l'antéhypophyse et la posthypophyse, une troisième structure, l'hypophyse intermédiaire, bien développée chez certaines espèces animales[Lesquelles ?] : chez l'humain, l'hypophyse intermédiaire (pars intermedia) est seulement visible en période fœtale et jusqu'à l'âge de dix ou vingt ans ; chez l'adulte, il subsiste quelques structures kystiques (follicules, restes de la poche de Rathke), ainsi qu'un infiltrat chromatophile basophile.
Antéhypophyse
L'antéhypophyse (aussi appelée adénohypophyse ou lobe antérieur, pars distalis) contient de nombreux types cellulaires différents qui sécrètent chacun une ou plusieurs des hormones suivantes :
- hormone de croissance (GH) ;
- prolactine ;
- hormone folliculo-stimulante (FSH) ;
- hormone lutéinisante (LH) ;
- thyréostimuline (TSH) ;
- hormone adrénocorticotrope (ACTH) ;
- mélano-stimuline (MSH) et endorphines qui dérivent de l'ACTH par clivage enzymatique de cette hormone ;
- et d'autres hormones.
L'antéhypophyse est en relation avec l'hypothalamus et les relations sanguines entre les deux glandes se font par le biais du système vasculaire porte hypothalamo-hypophysaire, qui permet le transport des neurohormones sécrétées par l'hypothalamus. Elle entre donc en jeu dans plusieurs axes de signalisations biologiques, comme l'axe gonadotrope.
Posthypophyse
La posthypophyse ou neurohypophyse (ou lobe postérieur, pars nervosa) est en fait une projection de l'hypothalamus, elle consiste en une agglomération d'axones projetés par les noyaux contenant les corps cellulaires des neurones. Ces neurones sont en contact (par leur cylindraxe) avec des capillaires sanguins entrant par l'artère hypophysaire inférieure et sortant par la veine hypophysaire. Ces bourgeons terminaux axonaux sont dénommés Corps de Herring. Les axones vont sécréter dans ces capillaires sanguins le contenu des granules de sécrétion qu'ils contiennent, qui vont libérer les deux neurohormones qui sont sécrétées au niveau de la neurohypophyse, soit la vasopressine et l'ocytocine. Elle ne produit pas ses propres hormones ; elle ne fait qu'entreposer et distribuer les hormones ocytocine et vasopressine sous forme de neurosécrétions.
Histologie

D'un point de vue histologique, l'hypophyse se divise en deux parties :
- l'adénohypophyse ;
- la neurohypophyse.
Grossièrement, elles sont équivalentes aux antéhypophyse et posthypophyse, à la différence que les termes de « neuro- » et d'« adéno-hypophyse » sont des termes histologiques et pas anatomiques.
Neurohypophyse
On lui distingue trois régions (de haut en bas)[4] :
- l'infundibulum ;
- la tige pituitaire ;
- le lobe nerveux.
La tige pituitaire est composée des axones des neurones des noyaux supra-optique et para-ventriculaire de l'hypothalamus. Ces axones ne sont pas myélinisés[5][source insuffisante].
Le lobe nerveux est composé des pituicytes (en), qui sont des cellules gliales. Il contient également les terminaisons axonales des neurones hypothalamiques, dans lesquelles on trouve des neurohormones (Arginine-Vasopressine et Ocytocine). Les capillaires et les nerfs sont équipés d'une lame basale.
Adénohypophyse
Son organisation se fait en cordons qui contiennent au centre des cellules folliculostellaires et en périphérie des cellules hormonogènes. Elles sont entourées d'une lame basale au travers de laquelle les cellules hormonogènes déversent leurs produits de sécrétion. Ceux-ci traversent alors un tissu conjonctif lâche avant de rejoindre les capillaires veineux puis de rejoindre la circulation générale.
Embryologie
Elle est formée par la soudure de deux invaginations :
- l'infundibulum provenant du diencéphale (donne la posthypophyse) ;
- la poche de Rathke (en) provenant de la cavité orale (donne l'antéhypophyse).
L'antéhypophyse se forme à partir d'un diverticule dorsal de la bouche primitive : cette ébauche est appelée la Poche de Rathke, constituée d'un feuillet antérieur (futur antéhypophyse), d'un feuillet postérieur (futur hypophyse intermédiaire), et d'une région centrale, la fente hypophysaire.
La posthypophyse se forme à partir d'une projection du plancher du diencéphale, qui donnera l'hypothalamus et la posthypophyse, reliés par la tige pituitaire. Cette ébauche tend à se rapprocher de l'ébauche de l'antéhypophyse, puis fusionne avec elle durant la période fœtale.
Exploration
Imagerie

Pathologie
Hypopituitarisme

En cas de défaut de production d'hormones, on parle d'hypopituitarisme (insuffisance antéhypophysaire). Il peut s'agir d'un déficit d'une ou plusieurs hormones (insuffisance somatotrope isolée chez l'enfant par exemple, se traduisant par un retard de croissance).
Adénomes

L'hypersécrétion est due le plus souvent à un adénome. Les adénomes sont par ordre de fréquence :
- adénome lactotrope (sécrétion de prolactine d'où hyperprolactinémie) ;
- adénome somatotrope (sécrétion de GH d'où acromégalie) ;
- adénome gonadotrope ou non-sécrétant (synthèse de LH et FSH, pas toujours libérée dans le sang) ;
- adénome corticotrope (sécrétion d'ACTH d'où maladie de Cushing) ;
- adénome thyréotrope (très rare, hyperthyroïdie par excès de TSH) ;
- il existe des adénomes mixtes : somatotrope et lactotrope surtout, mais d'autres associations sont possibles.
On parle de « micro adénome » (moins de 1 cm) ou de « macro adénome » hypophysaire (plus de 1 cm).
Un macro adénome peut fournir un excès d'hormone(s) et, dans le même temps, comprimer l'hypophyse saine, entraînant un déficit d'une ou plusieurs autres hormones.
Autres
Une atteinte cancéreuse est le plus souvent de type métastatique. Il peut exister une inflammation de l'hypophyse, souvent de type auto-immun[6]. La neurosarcoïdose, la granulomatose avec polyangéite (ou maladie de Wegener), la maladie à IgG4 peuvent comporter une atteinte hypophysaire.
L'hypophyse peut être détruite, notamment par une méningite.
Notes et références
- Anatole Bailly ; 2020 : Hugo Chávez, Gérard Gréco, André Charbonnet, Mark De Wilde, Bernard Maréchal & contributeurs, « Le Bailly »(Archive.org • Wikiwix • Archive.is • Google • Que faire ?), (consulté le ).
- « HYPOPHYSE, sur le dictionnaire Trésor de la langue française », sur stella.atilf.fr (consulté le ).
- « hypophyse n. f. », sur dictionnaire.academie-medecine.fr (consulté le ).
- Drs M. Bernier et C. Villa Histologie de l'hypophyse normale et des adénomes[PDF], diaporama de cours, université Paris Descartes, 2011.
- Anonyme. Le système endocrinien Diaporama de 67 cadres.
- (en) Falorni A, Minarelli V, Bartoloni E, Alunno A, Gerli R. Diagnosis and classification of autoimmune hypophysitis, Autoimmun Rev, 2014;13:412-41.
Voir aussi
- Portail de l’anatomie
- Portail des neurosciences
- Portail de la médecine
- Portail de la physiologie