Hypertension artérielle maligne
L'hypertension artérielle maligne est définie par une élévation importante de la pression artérielle s'accompagnant d'une souffrance viscérale (défaillance cardiaque, rénale, neurologique...) avec à l'examen du fond d'œil une rétinopathie hypertensive au stade III ou IV. Il s'agit d'une urgence médicale.

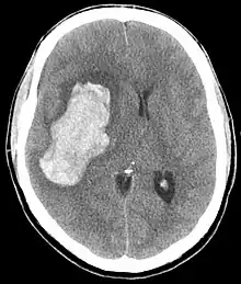
Saignement intra-parenchymateux avec œdème
En général, les valeurs de pression artérielle systolique sont très élevées sans qu'il y ait de valeur seuil (200 à 300 mmHg), par contre en termes de diastolique, on retrouve des valeurs supérieures à 120 mmHg voire 130 mmHg. L'évolution ou les variations tensionnelles peuvent également être importantes.
Annexes
Articles connexes
Notes et références
- Portail de la médecine
Cet article est issu de Wikipedia. Le texte est sous licence Creative Commons – Attribution – Partage à l’identique. Des conditions supplémentaires peuvent s’appliquer aux fichiers multimédias.