Kératoacanthome
Le kératoacanthome (KA) est une tumeur épithéliale assez fréquente d'évolution favorable, qui après controverse s'agissant de sa nature bénigne ou maligne, est considérée depuis 2018 par l'OMS comme un variant du carcinome épidermoïde (CE)[1]. Cette décision a fait l'objet de débats lors de la rédaction de la 4e édition de la classification des tumeurs cutanées, et reste discutée par de nombreuses équipes[2].


Le kératoacanthome était autrefois considéré comme une tumeur bénigne présentant une apparence maligne (pseudomalignité). Mais on le regarde maintenant de façon tout à fait opposée comme un cancer à malignité arrêtée dans son développement et qui progresse rarement jusqu'à devenir une lésion envahissante[3].
Le kératoacanthome peut servir de marqueur pour le syndrome de Muir-Torre, résultat d'un gène provoquant une mauvaise réparation des mésappariements de l'ADN.
Incidence
C'est une maladie touchant plus souvent des personnes âgées (âge moyen : 64 ans), avec un taux d'incidence annuel de 104 pour 100 000. Il peut cependant être observé chez tous les adultes. L'incidence chez les enfants et adolescents est exceptionnelle.
Causes
L'étiologie est inconnue.
- Aucune séquence d'ADN de papillomavirus humain n'a été découverte dans les lésions par la réaction en chaîne par polymérase.
- Elle n'est pas associée à une malignité interne.
Hypothèse :
- Il peut y avoir une variation saisonnière d'apparition du kératoacanthome qui suggère que les rayons ultraviolets ont un effet important sur le développement de la tumeur, mais ils peuvent se développer sur des parties du corps non exposées au soleil.
- Les kératoacanthomes peuvent se développer à l'emplacement de traumatismes antérieurs. Dans la plupart des cas ils sont de type « cratériforme », ils grandissent rapidement puis régressent d'eux-mêmes.
Description clinique
Le kératoacanthome apparaît sous la forme d'une papule lisse, en forme de dôme, rouge et ressemblant à molluscum contagiosum. En quelques semaines la tumeur peut se développer rapidement, atteindre 1 ou 2 centimètres et aboutir à un cratère central rempli de kératine et souvent rempli avec une croûte. En s'accroissant il garde une surface lisse, à la différence d'un carcinome spinocellulaire .
En l'absence de traitement, la croissance s'arrête dans un délai d'environ 6 semaines et la tumeur reste inchangée pendant une période de durée variable.
Dans la majorité de cas elle régresse alors lentement dans un délai de 2 à 12 mois et guérit souvent en laissant des marques.
Les membres, particulièrement les mains et les bras, exposés au soleil, sont l'emplacement le plus habituel; le tronc vient en deuxième position, mais le kératoacanthome peut se produire sur n'importe quelle surface de la peau, y compris la région anale.
Occasionnellement apparaissent des kératoacanthomes multiples, ou une lésion simple qui s'étend sur plus de quelques centimètres. Ces variantes résistent au traitement.
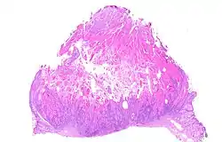
Microscopie
A l'examen microscopique, ces lésions sont distinguées de son parent le carcinome épidermoïde (CE) par sa bonne délimitation. Il est bordé de lèvres épidermiques et apparaît constitué de massifs malpighiens bien différenciés. Les kératinocytes y présentent des aspects vitreux ("glassy") dans les couches épineuses et forment une basale de taille peu accrue pouvant présenter des mitoses sans caractère aneuploïde.
Il y apparaît des globes cornés variablement parakératosiques au sein desquels une exocytose de polynucléaires neutrophiles est classiquement observée (bien que parfois absents).
La profondeur lésionnelle est bien nette avec des aspects de refoulement ("pushing borders") sans aspect infiltratif ni réaction desmoplasique flagrante.
Lors de la phase de régression, l'examen microscopique est compliqué par la fonte inégale des massifs profonds compromettant partiellement la symétrie de la silhouette lésionnelle. Cette phase de régression peut être reconnue par son inflammation lichénoïde disposées au pourtour de la profondeur des boyaux lésionnels[4].
Notes et références
- Elder, David E.,, Massi, Daniela,, Scolyer, Richard A., et Willemze, Rein,, WHO classification of skin tumours (ISBN 978-92-832-2440-2 et 92-832-2440-X, OCLC 1079377234, lire en ligne)
- (en) Johan Selmer, Torsten Skov, Lynda Spelman et David Weedon, « Squamous cell carcinoma and keratoacanthomas are biologically distinct and can be diagnosed by light microscopy: a review », Histopathology, vol. 69, no 4, , p. 535–541 (ISSN 1365-2559, DOI 10.1111/his.13018, lire en ligne, consulté le )
- Richard M.-A., « Kérato-acanthomes », sur www.therapeutique-dermatologique.org, (consulté le )
- Fletcher, Christopher D. M.,, Diagnostic histopathology of tumors (ISBN 978-0-323-63614-8, 0-323-63614-4 et 978-0-323-63613-1, OCLC 1140644073, lire en ligne)
Voir aussi
Articles connexes
Bibliographie
- {...}
Liens externes
- {...}
- Portail de la médecine