Péritonite

La péritonite est l’inflammation du péritoine[1]. La péritonite est une infection assez grave qui peut déboucher sur la mort si elle n’est pas traitée, car la surface péritonéale est interne ; les conséquences locales et générales sont donc très rapides. De par le risque de septicémie, la péritonite est une urgence chirurgicale mettant en jeu le pronostic vital[2].

L’infection provient d’une suppuration ou d’une perforation du tube digestif permettant à des bactéries d’atteindre le péritoine[3]. En fonction des moyens locaux et généraux de défense, trois évolutions sont possibles : la guérison, l’abcès ou la péritonite[4].

Le syndrome péritonéal aigu

Signes fonctionnels

  • Douleur abdominale d’installation brutale, dont le siège est fonction de la cause. Dans certains cas, on peut observer une irradiation scapulaire (douleur projetée dans la région de l’omoplate), mais le plus souvent cette douleur n’irradie pas. Douleur très intense, sévère, continue et exacerbée par tous les mouvements[2].
  • Vomissements très fréquents.
  • Arrêt du transit intestinal inconstant.
  • Diarrhée.
  • Grande fatigue.

Signes généraux

  • Fièvre > 38,5 °C, en fonction de la cause et de l’ancienneté de la péritonite.
  • Augmentation du pouls, pression artérielle normale ou basse.
  • Altération de l'état général.

Signes physiques

  • auscultation : abolition des bruits intestinaux normaux ;
  • inspection : le malade est pâle et figé, avec un faciès péritonéal, il a constamment soif et on n’observe pas de respiration abdominale (soulèvement de l'abdomen lors des mouvements respiratoires) ;
  • palpation : le maître symptôme de la péritonite est la contracture abdominale qui est une manifestation involontaire de la paroi abdominale la rendant rigide (« ventre de bois »)[1], tonique grâce à la musculature abdominale, permanente, invincible et douloureuse ; mais c’est un signe inconstant, la défense péritonéale étant plus fréquente[3] ;
  • percussion : matité ou tympanisme ;
  • touchers pelviens : douleur vive, nette et exacerbée (dite exquise)[5],[Note 1] du cul-de-sac de Douglas. Il peut y avoir aussi d'énormes douleurs dans le bas du ventre.

Examens

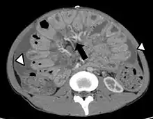
Carcinomatose péritonéale : examen illustré des résultats de la tomodensitométrie ou scanographie.
  • biologie : hyperleucocytose et signes d’hémoconcentration ;
  • radiographie : sur un cliché abdomen sans préparation (si possible en position debout ou assise, au pire en décubitus latéral, le patient étant allongé sur le côté) on pourra observer l’existence d’un épanchement aérique ou pneumopéritoine caractérisé par la présence d’air sous les coupoles diaphragmatiques. On pourra parfois aussi voir l’existence d’un syndrome occlusif paralytique caractérisé par une distension hydro-aérique de l’ensemble du tube digestif et/ou des niveaux liquides dans les anses digestives (images rectilignes horizontales, témoin de l’interface liquide-air et qui ne sont pas visualisées chez le sujet sain en raison du brassage permanent du contenu de l’intestin) ;
  • échographie, scanner : non indiqués pour le diagnostic des péritonites, peuvent cependant apporter des renseignements quant à leur cause[6].

Formes cliniques

Causes

Péritonite primitive

Infection spontanée par translocation d'un germe vers le péritoine sans perforation d'un organe creux intra-abdominal :

  • infection du liquide d'ascite[6] lors d'une cirrhose.
  • péritonite de l'hémodialysé
  • péritonite à pneumocoque

Péritonite secondaire

Il s'agit des causes de loin les plus fréquentes, elles sont dues à la perforation d'un organe creux intra-abdominal :

Il existe également des péritonites dites tertiaires, qui correspondent à des infections intra-abdominales persistantes après traitement et fréquemment associées à des défaillances multi-viscérales. Elles sont habituellement causées par des micro-organismes fongiques ou des bactéries multi-résistantes[6] et sont de mauvais pronostic.

Traitement

Le traitement est avant tout chirurgical, associé à une réanimation adéquate[1]. Un traitement médical isolé avec uniquement une antibiothérapie reste une exception, dans les cas sans rupture viscérale (dictionnaire des maladies à l'usage des professions de santé). Il faut y associer le traitement de la cause.

Le traitement chirurgical privilégie la laparotomie médiane (bien que des techniques cœlioscopiques restent envisageables en fonction des contextes). Il est d'usage d'avoir recours à une exploration complète de l'abdomen à la recherche d'étiologie si cette dernière n'était pas déjà clairement objectivée, de pratiquer des prélèvements à but microbiologique (pour adapter l'antibiothérapie si celle-ci est nécessaire), et de traiter la cause (appendicectomie, sigmoïdectomie, suture d'un ulcère…). La chirurgie est sanctionnée par un lavage abondant et une fermeture adéquate[2].

Morts célèbres

Notes et références

Note
  1. « Douleur exquise (méd.) : douleur vive, nette et exacerbée », dans le Wiktionnaire.
Références
  1. « Encyclopédie Santé : Péritonite », sur notrefamille.com (Bayard Presse), (consulté le ).
  2. Pr P. Seksik, Dr P. Delasalle et H. Joubert, « Péritonite », sur Société nationale française de gastro-entérologie, (consulté le ).
  3. Pr Paul Zeitoun et J-F Bretagne, « Urgences : Péritonites », sur medecine.sorbonne-universite.fr (Ressources numériques), (consulté le ).
  4. « VAHEDI Lesions : Péritonite », sur fdocuments.fr, (consulté le ).
  5. « Définition : exquis », sur Centre national de ressources textuelles et lexicales (consulté le ).
  6. Collégiale des Universitaires en Hépato-Gastro-Entérologie (CDU-HGE), « Péritonite aiguë », sur campus.cerimes.fr, (consulté le ).
  7. docThom, « Diagnostic d'une douleur abdominale aiguë 2ème partie : Syndrome péritonéal (la péritonite, localisée ou généralisée) », sur vocabulaire-medical.fr, (consulté le ).
  8. Hervé Dupont et G. Plantefève, Société française d'anesthésie et de réanimation (44e congrès national d'anesthésie et de réanimation), Conférences d'actualisation 2002 : Infections sévères à entérocoque en réanimation, Paris, Elsevier Masson, , 770 p., 24 cm (ISBN 2842993934 et 9782842993931, BNF 36947331, lire en ligne), p. 541-554.
  9. Frédéric Lewino, « La drôle de peste florentine décrite par l'illustre Machiavel » Accès limité, sur Le Point, (consulté le ).
  10. Pierre Hillemand, « À propos de la mort d'Henriette d'Angleterre Madame, Duchesse d'Orléans » [PDF], sur Bibliothèque interuniversitaire de santé, (consulté le ), p. 20 / 21.
  11. « Objet de la collection : Alexandrine Lenormant d’Etiolles », sur Musée Lambinet (consulté le ).
  12. Pierre Léon Thillaud, « Pathographie de Louis XVII au temple (août 1792-juin 1795) : Analyse du rapport », Cahiers de la Rotonde, Belgique, Cour de France.fr, no 6, 1979-1986, p. 74 (ISSN 0183-536X, SUDOC 234756357, lire en ligne, consulté le ).
  13. Odette Condemine et Paul Wyczynski, Bibliothèque nationale du Canada, Octave Crémazie (1827-1879) et Émile Nelligan (1879-1941), Ottawa, Ministre des Approvisionnements et Services Canada, , 208 p., 20,2 × 25,3 cm (ISBN 0-662-50530-1, présentation en ligne, lire en ligne [PDF]), p. 94.
  14. (en) « Petrus Jacobus Joubert », sur Encyclopædia Britannica 1911, (consulté le ).
  15. Jules Renard (Journal de Léon Bloy, juillet 1906), Journal inédit III, 1903-1907, vol. 10, Lausanne, Éditions L'Âge d'Homme, , 1605 p., 22 cm (présentation en ligne, lire en ligne), p. 978.
  16. Michel Bitzer, « Les pionniers du burlesque : Ce bon gros Fatty », sur Le Républicain lorrain, (consulté le ).
  17. Joël Levy (1971-) (trad. Guillaume Marlière), Petits cours de psy avec Freud : tout ce que vous avez toujours voulu savoir sur la psychologie Freudian Slips »] (Développement personnel), Paris, Hachette Pratique, , 174 p., 22 cm (ISBN 2012316220 et 978-2-01-231224-1, OCLC 872547168, BNF 43791643, SUDOC 17691448X, présentation en ligne, lire en ligne), p. 134.
  18. (en) « Legends of Hockey, Honoured Player : Jack Darragh », sur Hockey Hall of Fame (consulté le ).
  19. James Hossack, « La vérité sur la mort de Houdini », sur La DH Les Sports+, (consulté le ).
  20. « Rudolph Valentino (1895-1926) », sur Encyclopædia Universalis (consulté le ).
  21. Aurélien Brossé, « Agnès Souret, première Miss France », sur Gallica, (consulté le ).
  22. (en-US) « Sherwood Anderson », sur Narrative Magazine (en), (consulté le ).
  23. « Le mathématicien russe Vladimir Arnold est mort », sur Le Monde, (consulté le ).
  24. (en) Ed Malyon, « Former Birmingham City forward Christian Benitez dies, aged 27 », The Mirror, (lire en ligne, consulté le ).
  25. (en) « Explorer Henry Worsley dies attempting Antarctic crossing », sur bbc.com,
  26. « Christophe Revault est décédé d’une péritonite, selon l’autopsie », sur Le Parisien, (consulté le ).

Voir aussi

Liens externes

  • icône décorative Portail de la médecine
Cet article est issu de Wikipedia. Le texte est sous licence Creative Commons – Attribution – Partage à l’identique. Des conditions supplémentaires peuvent s’appliquer aux fichiers multimédias.