Plasmocytome
Un plasmocytome ou plasmacytome, est une tumeur maligne développée à partir de plasmocytes, cellules représentant le stade final de différenciation des lymphocytes B, productrices d'anticorps et d'immunoglobulines[1].

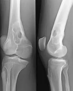
Un plasmocytome osseux solitaire du 1/3 inférieur du fémur dans le cadre d'un syndrome POEMS.
Un plasmocytome peut être, rarement, localisé à un os ou un autre organe, on parle alors de :
- Plasmocytome osseux solitaire
- Tumeur plasmocytaire extra-osseuse
Le plus souvent il s'agit d'un cancer généralisé : un myélome multiple.
Notes et références
Annexes
Articles connexes
Liens externes
- Portail de la médecine
- Portail de l’hématologie
Cet article est issu de Wikipedia. Le texte est sous licence Creative Commons – Attribution – Partage à l’identique. Des conditions supplémentaires peuvent s’appliquer aux fichiers multimédias.