Rupture de la rate
La rupture ou fracture de la rate est une urgence chirurgicale pouvant être causée par un traumatisme, comme un accident de la route.
Fonctions de la rate
La rate est un organe fragile, profond, situé dans l'hypocondre gauche en regard de la 10e côte (côte splénique) qui régule la formation et de la destruction des éléments figurés du sang. Bien que n'étant pas un organe vital, la rate joue un rôle dans l'immunité, notamment l'immunité cellulaire. Elle intervient tout particulièrement dans le contrôle des infections à bactéries encapsulées. Elle contient également un tiers des plaquettes du corps humain.
Causes

La cause la plus courante d'une rupture de la rate est un traumatisme abdominal comme dans un accident de la route ou sportif. Les blessures directes et pénétrantes comme des blessures par arme blanche ou par balles sont rares.
Les causes non traumatiques sont moins fréquentes : maladies infectieuses (avec des ruptures de rate spontanées lors d'une mononucléose infectieuse[1] ), maladies hématologiques, cancers, coloscopie, amylose[2].
Signes et symptômes
Lors de blessures légères avec peu de saignement, il peut y avoir une douleur abdominale majorée en hypocondre gauche ainsi qu'une sensibilité dans l'épigastre. Il y a également souvent une douleur aiguë au niveau de l'épaule gauche connue sous le nom de signe de Kehr[3]. Lors de blessures plus importantes avec un fort saignement, les signes d'hypovolémie sont plus importants. Ceci peut inclure un pouls plus rapide, une pression sanguine faible, une respiration rapide, une pâleur et de l’anxiété, et, en dernier lieu, d'un véritable choc hémorragique.
Les signes peuvent cependant être discrets, ou masqués par d'autres problèmes (polytraumatisme) : la notion d'un traumatisme abdominal ou costal doit faire pratiquer un scanner au moindre doute[4].
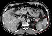
Diagnostic

La rupture de la rate peut être diagnostiquée par une échographie de l'abdomen. L’échographie peut détecter des fluides intra-péritonéaux dus à un saignement (hémopéritoine) et peut montrer, plus difficilement les dommages de la rate elle-même[5] : un examen normal n'est donc pas totalement rassurant[6], ce qui fait que l'intérêt de l'échographie en première intention est remis en cause[7]. Toutefois un examen normal reste un argument en faveur d'un bon pronostic[8].
Des radiographies du thorax et l'abdomen peuvent être faites pour exclure d'autres blessures. Une fracture costale peut être un témoin de l'importance du traumatisme et faire rechercher une rupture splénique si les côtes inférieures gauches sont concernées.
Un scanner de l'abdomen peut donner un aperçu plus complet des blessures spléniques et autres, pouvant montrer une fracture, des lacérations ou un hématome sous-capsulaire. La gravité des lésions peut être ainsi classée[9] ce qui permet une optimisation de la prise en charge et une diminution sensible de la nécessité d'une prise en charge chirurgicale[10].
Dans le passé une ponction-lavage du péritoine (en) était souvent effectuée pour détecter du sang dans l'abdomen (ponction et injection de sérum, puis réaspiration de ce dernier, qui est coloré en rouge s'il existe un saignement intrabdominal).
Gradation des lésions anatomiques
Son intérêt reste mineur dans la prise en charge par rapport à la tolérance hémodynamique du patient.
| Grades[11] | Description des lésions |
|---|---|
| I | Hématome sous-capsulaire couvrant moins de 10 % de la surface de la rate.
Déchirure capsulaire avec une plaie parenchymateuse de moins de 1 cm de profondeur. |
| II | Hématome sous-capsulaire couvrant 10 à 15 % de la surface de la rate.
Hématome au sein de la rate de moins de 5 cm de diamètre. Déchirure capsulaire avec plaie parenchymateuse de 1 à 3 cm. |
| III | Hématome sous-capsulaire intéressant plus de 50 % de la surface de la rate ou expansif.
Hématome sous-capsulaire ou intraparenchymateux rompu Hématome intraparenchymateux |
| IV | Déchirure intéressant les vaisseaux segmentaires ou hilaires entraînant une dévascularisation de plus de 25 % de la rate. |
| V | Fragmentation splénique complète.
Lésion vasculaire hilaire avec dévascularisation splénique totale. |
Traitement
Du fait que la rupture de la rate et de sa capsule permet à de grandes quantités de sang de se répandre dans la cavité abdominale, cette blessure peut être mortelle.
Dans le passé, le traitement habituel était une opération chirurgicale en urgence et un retrait de la rate (splénectomie) mais il est maintenant plus courant d'effectuer une simple surveillance du patient pour s'assurer que le saignement s'arrête de lui-même et pour permettre à la rate de se réparer elle-même, du moins dans les formes limitées avec hémodynamique conservée[12], ainsi que pour les stades 1,2 ou 3 au TDM[Quoi ?][11].
Attention cependant, des ruptures secondaires peuvent survenir jusqu'à un mois après le traumatisme initial[11].
En cas de chirurgie, certaines techniques permettent d'éviter l'ablation de la rate : utilisation de colle biologique[13] ou consolidation par application d'un tissu résorbable[14]. Ces interventions peuvent être faites par cœlioscopie (ou laparoscopie et non laparotomie) dans certains cas[15].
Une technique alternative est l'angio-embolisation : un cathéter est monté jusqu'à l'artère responsable du saignement, qui est alors obturée mécaniquement ou chimiquement[16], permettant ainsi d'éviter un certain nombre de splénectomies[17]. Les principales complications, survenant dans moins d'un cas sur sept, en sont l'abcès et l’infarctus splénique, la survenue d'un kyste de la rate et l'insuffisance rénale secondaire à l'injection de produit de contraste iodé[18].
La mortalité globale des patients ayant un traumatisme splénique est de 6%[19].
Les patients dont la rate a été retirée doivent recevoir des vaccinations pour empêcher des infections (en) comme la pneumonie. Cela aide à remplacer cette fonction perdue de l'organe. Les deux vaccins viseront les germes encapsulés que sont le pneumocoque et l'haemophilus influenzae, le vaccin anti méningocoque ne sera pas systématiquement recommandé hormis chez l'enfant[11]. Il est recommandé de vacciner le patient lors de sa sortie d'hospitalisation, ou 15 à 45 jours précédant une splénectomie programmée. L'antibiothérapie préventive par pénicilline V est la thérapie de choix pour 5 ans chez l'enfant ou 2 ans chez l'adulte[11],[20].
Notes et références
- (en) Cet article est partiellement ou en totalité issu de l’article de Wikipédia en anglais intitulé « Ruptured spleen » (voir la liste des auteurs).
- L.Lymer, « Rupture de rate spontanée au cours d’une mononucléose infectieuse », sur Science Direct, (consulté le )
- Aubrey-Bassler FK, Sowers N, 613 cases of splenic rupture without risk factors or previously diagnosed disease: a systematic review, BMC Emerg Med, 2012;12:11
-
- Slimani, H., Hugonnot, S. & Sengler, L. « Signe de Kehr. Un signe clinique qui peut sauver ! », Ann. Fr. Med. Urgence (2017). doi:10.1007/s13341-017-0731-7, Texte intégral en ligne
- Schurink GW, Bode PJ, van Luijt PA, van Vugt AB, The value of physical examination in the diagnosis of patients with blunt abdominal trauma: a retrospective study, Injury, 1997;28:261-5
- Rothlin MA, Naf R, Amgwerd M, Candinas D, Frick T, Trentz O, Ultrasound in blunt abdominal and thoracic trauma, J Trauma, 1993;34:488-95
- Stengel D, Bauwens K, Sehouli J et al. Systematic review and meta-analysis of emergency ultrasonography for blunt abdominal trauma, Br J Surg, 2001;88:901-12
- Smith J, Focused assessment with sonography in trauma (FAST): should its role be reconsidered?, Postgrad Med J, 2010;86:285-91
- Laselle BT, Byyny RL, Haukoos JS et al. False-negative FAST examination: associations with injury characteristics and patient outcomes, Ann Emerg Med, 2012;60:326-34.e3
- Moore EE, Cogbill TH, Jurkovich GJ, Shackford SR, Malangoni MA, Champion HR, Organ injury scaling: spleen and liver (1994 revision), J Trauma, 1995;38:323-4
- Hildebrand DR, Ben-sassi A, Ross NP, Macvicar R, Frizelle FA, Watson AJM, Modern management of splenic trauma, BMJ, 2014;348:g1864
- « Traumatismes de la rate (lien cassé) », sur Mapar.org, (consulté le )
- Cirocchi R, Boselli C, Corsi A et al. Is non-operative management safe and effective for all splenic blunt trauma? A systematic review, Crit Care, 2013;17:R185
- Ochsner MG, Maniscalco-Theberge ME, Champion HR, Fibrin glue as a hemostatic agent in hepatic and splenic trauma, J Trauma, 1990;30:884-7
- Delany HM, Ivatury RR, Blau SA, Gleeson M, Simon R, Stahl WM, Use of biodegradable (PGA) fabric for repair of solid organ injury: a combined institution experience, Injury, 1993;24:585-9
- Orcalli F, Elio A, Veronese E, Frigo F, Salvato S, Residori C, Conservative laparoscopy in the treatment of posttraumatic splenic laceration using microfiber hemostatic collagen: three case histories, Surg Laparosc Endosc, 1998;8:445-8
- Stassen NA, Bhullar I, Cheng JD et al. Selective nonoperative management of blunt splenic injury: an Eastern Association for the Surgery of Trauma practice management guideline, J Trauma Acute Care Surg, 2012;73(5 suppl 4):S294-300
- Jeremitsky E, Kao A, Carlton C, Rodriguez A, Ong A, Does splenic embolization and grade of splenic injury impact nonoperative management in patients sustaining blunt splenic trauma?, Am Surg, 2011;77:215-20
- Ekeh AP, Khalaf S, Ilyas S, Kauffman S, Walusimbi M, McCarthy MC, Complications arising from splenic artery embolization: a review of an 11-year experience, Am J Surg, 2013;205:250-4
- Hamlat CA, Arbabi S, Koepsell TD, Maier RV, Jurkovich GJ, Rivara FP, National variation in outcomes and costs for splenic injury and the impact of trauma systems: a population-based cohort study, Ann Surg, 2012;255:165-70.
- Tristan Ferry, « Prévention des infections après splénectomie », sur Spiral Connect Université de Lyon (consulté le )
Liens externes
- Point sur le traumatisme de la rate par la Mise Au Point en Anesthésie Réanimation: lien vers le pdf.
- Point sur le traumatisme de la rate par la Société Française d'Orthopédie Pédiatrique: lien vers le pdf.
- Portail de la médecine
- Portail des premiers secours et du secourisme