Trichrome de Gomori
La coloration trichrome de Gömöri est une coloration histologique utilisée sur le tissu musculaire[1],[2]. Elle peut être utilisée pour dépister certaines formes de myopathie mitochondriale.

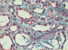
Capillaires péritubulaires dilatés remplis de globules rouges falciformes, coloration originale au trichrome de Gomori, × 400.

Les "fibres rouges en lambeaux" dans le syndrome MELAS sont visibles sous coloration par trichrome de Gomori modifiée.
Elle porte le nom de György Gömöri, qui l'a développé en 1950.
Sources et références
- « GOMORI TRICHROME » (consulté le )
- « Histology Lab: GOMORI TRICHROME » (consulté le )
Voir aussi
- Portail de la médecine
Cet article est issu de Wikipedia. Le texte est sous licence Creative Commons – Attribution – Partage à l’identique. Des conditions supplémentaires peuvent s’appliquer aux fichiers multimédias.