Tumeur neuroectodermique primitive
Une tumeur neuroectodermique primitive (ou PNET, de l'anglais « primitive neuroectodermal tumor ») est une tumeur maligne, un cancer de la crête neurale[1]. Il s'agit d'un type de tumeur rare, survenant généralement chez des enfants et de jeunes adultes, âgés de moins de 25 ans. Le taux de survie à 5 ans est d'environ 53 %[2].
Elle est ainsi nommée car la plupart des cellules constituant cette tumeur proviennent du neurectoderme, sans cependant se développer ni se différencier normalement en neurone, ainsi les cellules apparaissent-elles « primitives ».
Les PNET appartiennent à la famille des tumeurs de type Ewing : « tumeurs de la famille Ewing/PNET ».
Classification
Selon leurs localisations, les PNET peuvent être de deux types : les tumeurs neuroectodermiques primitives périphériques (pPNET) et les tumeurs neuroectodermiques primitives du système nerveux central.
Tumeur neuroectodermique primitive périphérique

La tumeur neuroectodermique primitive périphérique est assimilée au sarcome d'Ewing :
« Les données actuelles de la science montrent que sarcomes d'Ewing et PNET présentent un phénotype neural similaire, et, puisqu'ils partagent une même translocation chromosomique, ils doivent être perçus comme un même type de tumeurs, variant uniquement dans leur différenciation neurale. Les tumeurs révélant en microscopie optique, en immunohistochimie ou en microscopie électronique une différenciation neurale sont classiquement appelées PNET, alors que celles qui sont moins différenciées sont des sarcomes d'Ewing[3]. »
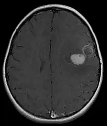
Tumeur neuroectodermique primitive du système nerveux central

Une tumeur neuroectodermique primitive (PNET) du système nerveux central fait habituellement référence à une tumeur neuroectodermique primitive supratentorielle :
- auparavant les médulloblastomes étaient considérés comme des PNET ; cependant ils différent sur les plans génétiques, transcriptionnels et cliniques. Dorénavant les PNET sous-tentorielles sont appelées médulloblastomes (en)[4] ;
- les pinéoblastomes sont des tumeurs embryonnaires provenant de la glande pinéale (épiphyse) ; ils sont plutôt distincts des PNET supratentorielles.
Diagnostic
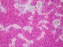
Aspect microscopique
Les sarcomes d'Ewing, et plus généralement les tumeurs neuroectodermiques primitives (PNET), montrent une prolifération d'architecture diffuse, composée de petites cellules rondes au rapport nucléocytoplasmique élevé[5].
Marquage immunohistochimique
Les cellules des sarcomes d'Ewing, et plus généralement les tumeurs neuroectodermiques primitives (PNET), peuvent être soulignées en immunohistochimie par l'anticorps dirigé contre le facteur de transcription Fli-1 (en), reflet indirect d'une translocation t(11 ; 22) (q24 ; q12) impliquant le gène EWS sur le chromosome 22 (en) et le gène Fli-1 sur le chromosome 11[5],[6].
Modèle
Un modèle de tumeur cérébrale a pu être bâti, par le transfert du gène codant le gros antigène T du virus SV40 dans des précurseurs de cellules neurales de rats. Les tumeurs neuroectodermiques primitives (PNET) ainsi obtenues ne peuvent être distinguées de PNET humaines ; elles ont permis de nouvelles identifications de gènes impliqués dans la carcinogenèse de tumeurs humaines du cerveau[7]. Ce modèle a été mis à profit pour confirmer que p53 est l'un des gènes impliqués dans les médulloblastomes humains, mais, alors que seuls 10 % environ des tumeurs humaines ont montré des mutations de ce gène, le modèle peut être utilisé pour identifier d'autres facteurs liés au gros antigène T du virus SV40, autres que p53[8].
Notes et références
- (en) « primitive neuroectodermal tumor » dans le dictionnaire médical Dorland
- (en) Nicolas R Smoll, « Relative survival of childhood and adult medulloblastomas and primitive neuroectodermal tumors (PNETs) », Cancer, vol. 118, no 5, , p. 1313-22. (PMID 21837678, DOI 10.1002/cncr.26387, lire en ligne [html], consulté le )
- (en) Kumar Vinay, Fausto Nelso, Abbas Abul, Robbins & Cotran Pathologic Basis of Disease, 7e éd., 2004
- (en) Robert H. Eibl et Markus Schneemann, « Medulloblastoma: From TP53 Mutations to Molecular Classification and Liquid Biopsy », Biology, vol. 12, no 2, , p. 267 (ISSN 2079-7737, PMID 36829544, PMCID PMC9952923, DOI 10.3390/biology12020267, lire en ligne, consulté le )
- Gengler C, Guillou L, « Tumeurs des tissus mous : rôle du pathologiste dans l'approche diagnostique [The place of the pathologist in the management of tumors of soft tissue] », Rev Med Suisse, vol. 3, no 119, , p. 1726-32. (PMID 17727092, lire en ligne [html], consulté le )
- (en) Tomlins SA, Palanisamy N, Brenner JC, Stall JN, Kunju LP et al., « Usefulness of a monoclonal ERG/FLI1 antibody for immunohistochemical discrimination of Ewing family tumors », Am J Clin Pathol, vol. 139, no 6, , p. 771-9. (PMID 23690120, PMCID PMC3662488, DOI 10.1309/AJCPN4L1BMRQPEIT, lire en ligne [html])
- (en) Eibl RH, Kleihues P, Jat PS, Wiestler OD, « A model for primitive neuroectodermal tumors in transgenic neural transplants harboring the SV40 large T antigen », Am J Pathol, vol. 144, no 3, , p. 556-64. (PMID 8129041, PMCID PMC1887088, lire en ligne [html], consulté le )
- (en) Ohgaki H, Eibl RH, Wiestler OD, Yasargil MG, Newcomb EW, Kleihues P, « p53 mutations in nonastrocytic human brain tumors », Cancer Res, vol. 51, no 22, , p. 6202-5. (PMID 1933879, lire en ligne [PDF], consulté le )
Voir aussi
Crédits
- (en) Cet article est partiellement ou en totalité issu de l’article de Wikipédia en anglais intitulé « Primitive neuroectodermal tumor » (voir la liste des auteurs).
- Portail de la médecine
- Portail de la biologie cellulaire et moléculaire