parodontite
Français
Nom commun
| Singulier | Pluriel |
|---|---|
| parodontite | parodontites |
| \pa.ʁɔ.dɔ̃.tit\ | |

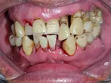
Une parodontite chronique sévère.
parodontite \pa.ʁɔ.dɔ̃.tit\ féminin
- (Médecine) Inflammation du parodonte, c’est-à-dire des tissus de soutien de la dent : la gencive, le cément, le ligament alvéolo-dentaire et l’os alvéolaire, accompagnée d’une perte osseuse, appelée alvéolyse.
- Pour deux d’entre eux, victimes de parodontites, les bactéries détectées dans le genou étaient des clones génétiques de celles qui leur causaient l’infection buccodentaire (Fusobacterium nucleatum dans un cas et Serratia proteamaculans dans l’autre). — (Science décalée : contre l’arthrose au genou, brossez-vous les dents !, Futura-Sciences, 1 juillet 2012)
Des dentifrices pour les dents lisses, contre la parodontite, contre la sécheresse buccale, contre l’inflammation gingivale, pour les fumeurs, contre l’érosion dentaire, pour une meilleure flore buccale...
— (Richard Martineau, Une société de plus en plus morcelée, Le Journal de Québec, 7 décembre 2021)
Synonymes
- périodontite (ancien)
Apparentés étymologiques
Vocabulaire apparenté par le sens
Traductions
- Allemand : parodontitis (de)
- Anglais : periodontitis (en)
- Espagnol : periodontitis (es)
- Galicien : parodontite (gl) féminin
- Italien : parodontite (it), peridontite (it)
- Néerlandais : parodontitis (nl)
- Portugais : parodontite (pt) féminin
- Slovaque : paradentóza (sk) féminin
- Tchèque : parodontóza (cs)
Hyperonymes
Hyponymes
- parodontite suppurée, pyorrhée alvéolo-dentaire, maladie de Fauchard
Prononciation
- France (Toulouse) : écouter « parodontite [Prononciation ?] »
Voir aussi
- parodontite sur l’encyclopédie Wikipédia

Références
- Christian Meyer, éditeur scientifique, Dictionnaire des sciences animales, Cirad, Montpellier, France, 2024
Cet article est issu de Wiktionary. Le texte est sous licence Creative Commons – Attribution – Partage à l’identique. Des conditions supplémentaires peuvent s’appliquer aux fichiers multimédias.