plaque dentaire
Français
| Cette entrée est considérée comme une ébauche à compléter en français. Si vous possédez quelques connaissances sur le sujet, vous pouvez les partager en modifiant dès à présent cette page (en cliquant sur le lien « modifier le wikicode »). |
Locution nominale
| Singulier | Pluriel |
|---|---|
| plaque dentaire | plaques dentaires |
| \plak dɑ̃.tɛʁ\ | |

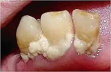
Des plaques dentaires.
plaque dentaire \plak dɑ̃.tɛʁ\ féminin
- (Dentisterie) Substance blanchâtre qui se dépose à la surface de la dent, essentiellement constituée de protéines salivaires, d'aliments (sucres et acide), de bactéries et des toxines secrétées par ces dernières.
La plaque dentaire est un biofilm dans lequel les bactéries sont organisées selon une architecture très précise.
— (Émile Boyer, Martine Bonnaure-Malletet et Vincent Meuric, Le microbiote fait la fine bouche, Pour la Science, 28 septembre 2020)
Synonymes
Hyperonymes
Vocabulaire apparenté par le sens
Traductions
Prononciation
- France (Toulouse) : écouter « plaque dentaire [Prononciation ?] »
Voir aussi
- plaque dentaire sur l’encyclopédie Wikipédia

Cet article est issu de Wiktionary. Le texte est sous licence Creative Commons – Attribution – Partage à l’identique. Des conditions supplémentaires peuvent s’appliquer aux fichiers multimédias.