sonde double J
Français
Locution nominale
| Singulier | Pluriel |
|---|---|
| sonde double J | sondes double J |
| \sɔ̃d dubl ʒi\ | |
Une sonde double J

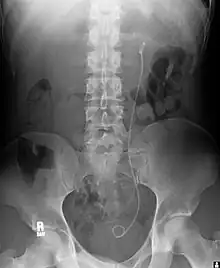
Radiographie révélant la présence d’une sonde double J
sonde double J \sɔ̃d dubl ʒi\ féminin
- (Médecine) Sonde urinaire passant par l’urètre, dont les extrémités en boucle sont placées dans un rein et dans la vessie, et occupant ainsi un uretère.
La mise en place d’une sonde double J permet alors de drainer la voie excrétrice et de programmer éventuellement un autre traitement ultérieurement.
— (Pierre Vayre, Alain Vannineuse, Le risque annoncé de la pratique chirurgicale, Springer Science & Business Media, 2003, page 439)
Traductions
- Anglais : double J stent (en), JJ stent (en), pig-tail stent (en)
- Italien : stent doppia J (it)
- Portugais : cateter duplo J (pt) masculin
Cet article est issu de Wiktionary. Le texte est sous licence Creative Commons – Attribution – Partage à l’identique. Des conditions supplémentaires peuvent s’appliquer aux fichiers multimédias.