Adenosquamous carcinoma
Micrograph of an adenosquamous carcinoma of the lung. The adeno- or glandular component is on the left of the image and the squamous component on the right of the image. H&E stain.
SpecialtyOncology Edit this on Wikidata

Adenosquamous carcinoma is a type of cancer that contains two types of cells: squamous cells (thin, flat cells that line certain organs) and gland-like cells. It has been associated with more aggressive characteristics when compared to adenocarcinoma in certain cancers.[1][2] It is responsible for 1% to 4% of exocrine forms of pancreas cancer.[3]

Diagnosis

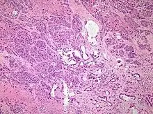
Micrograph of adenosquamous carcinoma of the pancreas.

Light microscopy shows a combination of gland-like cells and squamous epithelial cells.[4] On immunohistochemistry, it is typically positive for CK5/6, CK7 and p63, and negative for CK20, p16 and p53. On genetic testing, KRAS and p53 are typically altered.[4]

References

  1. Mahendraraj K, Di Como JA, Chamberlain RS (October 2014). "Adenosquamous carcinoma of the pancreas: a population based clinical outcomes studies involving 700 patients from the Surveillance, Epidemiology, and End Results (SEER) database (1973-2010)". Journal of the American College of Surgeons. 219 (4): 109. doi:10.1016/j.jamcollsurg.2014.07.676.
  2. Di Como JA (October 2015). "Adenosquamous carcinoma of the colon and rectum: a population based clinical outcomes study involving 578 patients from the Surveillance Epidemiology and End Result (SEER) database (1973-2010)". Journal of the American College of Surgeons. 221 (4): 56. doi:10.1016/j.jamcollsurg.2015.08.044.
  3. Skafida E, Grammatoglou X, Glava C, Zissis D, Paschalidis N, Katsamagkou E, et al. (February 2010). "Adenosquamous carcinoma of the pancreas: a case report". Cases Journal. 3 (1): 41. doi:10.1186/1757-1626-3-41. PMC 2825199. PMID 20205828.
  4. 1 2 Pishvaian MJ, Brody JR (March 2017). "Therapeutic Implications of Molecular Subtyping for Pancreatic Cancer". Oncology. 31 (3): 159–66, 168. PMID 28299752.

Public Domain This article incorporates public domain material from Dictionary of Cancer Terms. U.S. National Cancer Institute.

This article is issued from Wikipedia. The text is licensed under Creative Commons - Attribution - Sharealike. Additional terms may apply for the media files.