Cancer cells are cells that divide continually, forming solid tumors or flooding the blood or lymph with abnormal cells. Cell division is a normal process used by the body for growth and repair. A parent cell divides to form two daughter cells, and these daughter cells are used to build new tissue or to replace cells that have died because of aging or damage. Healthy cells stop dividing when there is no longer a need for more daughter cells, but cancer cells continue to produce copies. They are also able to spread from one part of the body to another in a process known as metastasis.[1]

Classification

There are different categories of cancer cell, defined according to the cell type from which they originate.[2]

Histology

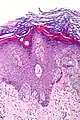
Histological features of normal cells and cancer cells

Cancer cells have distinguishing histological features visible under the microscope. The nucleus is often large and irregular, and the cytoplasm may also display abnormalities.[3]

Nucleus

The shape, size, protein composition, and texture of the nucleus are often altered in malignant cells. The nucleus may acquire grooves, folds or indentations, chromatin may aggregate or disperse, and the nucleolus can become enlarged. In normal cells, the nucleus is often round or solid in shape, but in cancer cells the outline is often irregular. Different combinations of abnormalities are characteristic of different cancer types, to the extent that nuclear appearance can be used as a marker in cancer diagnostics and staging.[4]

Causes

Cancer cells are created when the genes responsible for regulating cell division are damaged. Carcinogenesis is caused by mutation and epimutation of the genetic material of normal cells, which upsets the normal balance between proliferation and cell death. This results in uncontrolled cell division in the body. The uncontrolled and often rapid proliferation of cells can lead to benign or malignant tumours (cancer). Benign tumors do not spread to other parts of the body or invade other tissues. Malignant tumors can invade other organs, spread to distant locations (metastasis) and become life-threatening.

More than one mutation is necessary for carcinogenesis. In fact, a series of several mutations to certain classes of genes is usually required before a normal cell will transform into a cancer cell.[5]

Damage to DNA can be caused by exposure to radiation, chemicals, and other environmental sources, but mutations also accumulate naturally over time through uncorrected errors in DNA transcription, making age another risk factor. Oncoviruses can cause certain types of cancer, and genetics are also known to play a role.[6]

Stem cell research suggests that excess SP2 protein may turn stem cells into cancer cells.[7] However, a lack of particular co-stimulated molecules that aid in the way antigens react with lymphocytes can impair the natural killer cells' function, ultimately leading to cancer.[8]

DNA repair and mutation

When a cell is deficient in the capacity to repair DNA damages, such damages tend to be retained within the cell at an increased level. These damages, upon replication of the cell’s DNA, may cause replication errors, including mutations that lead to cancer. Numerous inherited DNA repair disorders have been described that increase cancer risk (see Wikipedia article DNA repair-deficiency disorder). In addition, particular DNA repair enzymes have been found to be deficient in multiple cancers. For example, deficient expression of the DNA repair enzyme O-6-methylguanine-DNA methyltransferase is observed in several different kinds of cancer (see Wikipedia article O-6-methylguanine-DNA methyltransferase). Although a DNA repair deficiency can predispose a cell lineage to develop cancer, increased (rather than decreased) expression of a repair capability may also emerge in the progression of cancer cell lineages, and this capability may be clinically important as reviewed by Lingg et al.[9] For instance, the DNA repair gene DMC1 encodes a protein that is normally expressed only in cells undergoing meiosis where it helps maintain an undamaged germ-line. However, DMC1 is also expressed in various cancer cell lines including cervical, breast, and lymphoma cancer cell lines.[9] Expression of meiotic DNA repair genes such as DMC1 may promote tumor cell growth by dealing with endogenous DNA damage within the tumor, and may also diminish the effectiveness of anticancer therapy, such as radiation therapy.[9]

Pathology

Cells playing roles in the immune system, such as T-cells, are thought to use a dual receptor system when they determine whether or not to kill sick or damaged human cells. If a cell is under stress, turning into tumors, or infected, molecules including MIC-A and MIC-B are produced so that they can attach to the surface of the cell.[8] These work to help macrophages detect and kill cancer cells.[10]

Discovery

Early evidence of human cancer can be interpreted from Egyptian papers (1538 BCE) and mummified remains.[11] In 2016, a 1.7 million year old osteosarcoma was reported by Edward John Odes (a doctoral student in Anatomical Sciences from Witwatersrand Medical School, South Africa) and colleagues, representing the oldest documented malignant hominin cancer.[12]

The understanding of cancer was significantly advanced during the Renaissance period and in to the Age of Discovery. Sir Rudolf Virchow, a German biologist and politician, studied microscopic pathology, and linked his observations to illness. He is described as "the founder of cellular pathology".[13] In 1845, Virchow and John Hughes Bennett independently observed abnormal increase in white blood cells in patients. Virchow correctly identified the condition as blood disease, and named it leukämie in 1847 (later anglicised to leukemia).[14][15][16] In 1857, he was the first to describe a type of tumour called chordoma that originated from the clivus (at the base of the skull).[17][18]

Telomerase

Cancer cells have unique features that make them "immortal" according to some researchers. The enzyme telomerase is used to extend the cancer cell's life span. While the telomeres of most cells shorten after each division, eventually causing the cell to die, telomerase extends the cell's telomeres. This is a major reason that cancer cells can accumulate over time, creating tumors.

Cancer stem cells and drug resistance

A diagram illustrating the distinction between cancer stem cell targeted and conventional cancer therapies

Scientists have discovered a molecule on the surface of tumors that appears to promote drug resistance—by converting the tumor cells back into a stem cell-like state.

When the tumor cells began to exhibit drug resistance, the cells were simultaneously transforming into a stem cell-like state, which made them impervious to the drugs. It appeared that the treatment itself was driving this transformation by activating a specific molecular pathway. Luckily, several existing drugs, such as Bortezomib for example, can attack this pathway and reverse the cellular transformation, thus 're-sensitizing' the tumor to treatment.[19][20][21]

Treatment

In February 2019, medical scientists announced that iridium attached to albumin, creating a photosensitized molecule, can penetrate cancer cells and, after being irradiated with light (a process called photodynamic therapy), destroy the cancer cells.[22][23]

See also

References

  1. "National Cancer Institute: is this cancer?". 2007-09-17. Retrieved 1 August 2016.
  2. "Histological types of cancer - CRS - Cancer Research Society". www.crs-src.ca. Archived from the original on 2017-08-27. Retrieved 2016-08-02.
  3. Baba AT, Câtoi C (2007). "Comparative Oncology". Tumor Cell Morphology. The Publishing House of the Romanian Academy.
  4. Zink D, Fischer AH, Nickerson JA (September 2004). "Nuclear structure in cancer cells". Nature Reviews. Cancer. 4 (9): 677–687. doi:10.1038/nrc1430. PMID 15343274. S2CID 29052588.
  5. Fearon ER, Vogelstein B (June 1990). "A genetic model for colorectal tumorigenesis". Cell. 61 (5): 759–767. doi:10.1016/0092-8674(90)90186-I. PMID 2188735. S2CID 22975880.
  6. What causes cancer? : Cancer Research UK : CancerHelp UK. Cancerhelp.org.uk (2010-07-15). Retrieved on 2010-12-01.
  7. Too much SP2 protein turns stem cells into 'EVIL TWIN' cancer cells. Sciencedaily.com (2010-10-27). Retrieved on 2010-12-01.
  8. 1 2 "The Innate Immune System: NK Cells". Community College of Baltimore County. Archived from the original on 2010-07-27. Retrieved 2010-12-01.
  9. 1 2 3 Lingg, L.; Rottenberg, S.; Francica, P. (2022). "Meiotic Genes and DNA Double Strand Break Repair in Cancer". Frontiers in Genetics. 13: 831620. doi:10.3389/fgene.2022.831620. PMC 8895043. PMID 35251135.
  10. The Adaptive Immune System: Ways That Antibodies Help to Defend the Body - Antibody-Dependent Cellular Cytotoxicity (ADCC) Archived 2010-07-27 at the Wayback Machine. Student.ccbcmd.edu. Retrieved on 2010-12-01.
  11. David AR, Zimmerman MR (October 2010). "Cancer: an old disease, a new disease or something in between?". Nature Reviews. Cancer. 10 (10): 728–733. doi:10.1038/nrc2914. PMID 20814420. S2CID 10492262.
  12. Odes EJ, Randolph-Quinney PS, Steyn M, Throckmorton Z, Smilg JS, Zipfel B, et al. (2016). "Earliest hominin cancer: 1.7-million-year-old osteosarcoma from Swartkrans Cave, South Africa". South African Journal of Science. 112 (7/8): 5. doi:10.17159/sajs.2016/20150471. ISSN 1996-7489. Archived from the original on 2016-08-01. Retrieved 2016-08-01.
  13. "History of cancer" (PDF). University of Bergen. 23 March 1999. Archived from the original (PDF) on 2012-03-14. Retrieved 2010-11-30.
  14. Degos L (2001). "John Hughes Bennett, Rudolph Virchow... and Alfred Donné: the first description of leukemia". The Hematology Journal. 2 (1): 1. doi:10.1038/sj/thj/6200090. PMID 11920227.
  15. Kampen KR (January 2012). "The discovery and early understanding of leukemia". Leukemia Research. 36 (1): 6–13. doi:10.1016/j.leukres.2011.09.028. PMID 22033191.
  16. Mukherjee S (16 November 2010). The Emperor of All Maladies: A Biography of Cancer. Simon and Schuster. ISBN 978-1-4391-0795-9. Retrieved 6 September 2011.
  17. Hirsch EF, Ingals M (May 1923). "Sacrococcygeal chordoma". JAMA: The Journal of the American Medical Association. 80 (19): 1369. doi:10.1001/jama.1923.02640460019007.
  18. Lopes A, Rossi BM, Silveira CR, Alves AC (1996). "Chordoma: retrospective analysis of 24 cases". Sao Paulo Medical Journal = Revista Paulista de Medicina. 114 (6): 1312–1316. doi:10.1590/S1516-31801996000600006. PMID 9269106.
  19. Li Y, Wang Z, Ajani JA, Song S (February 2021). "Drug resistance and Cancer stem cells". Cell Communication and Signaling. 19 (1): 19. doi:10.1186/s12964-020-00627-5. PMC 7885480. PMID 33588867.
  20. Holden A (23 April 2014). "Tumor Cells Become Drug Resistant by Reverting to a Stem Cell-Like State".
  21. Seguin L, Kato S, Franovic A, Camargo MF, Lesperance J, Elliott KC, et al. (May 2014). "An integrin β3-KRAS-RalB complex drives tumour stemness and resistance to EGFR inhibition". Nature Cell Biology. 16 (5): 457–468. doi:10.1038/ncb2953. PMC 4105198. PMID 24747441.
  22. University of Warwick (3 February 2019). "Simply shining light on dinosaur metal compound kills cancer cells". EurekAlert!. Retrieved 3 February 2019.
  23. Zhang P, Huang H, Banerjee S, Clarkson GJ, Ge C, Imberti C, Sadler PJ (February 2019). "Nucleus-Targeted Organoiridium-Albumin Conjugate for Photodynamic Cancer Therapy". Angewandte Chemie. 58 (8): 2350–2354. doi:10.1002/anie.201813002. PMC 6468315. PMID 30552796.

Further reading

This article is issued from Wikipedia. The text is licensed under Creative Commons - Attribution - Sharealike. Additional terms may apply for the media files.